[Ortho] Нужен совет по тактике лечения многооскольчатого перелома бедра

Владимир orthoforum на weborto.net
Ср Сен 30 16:16:32 YEKST 2009


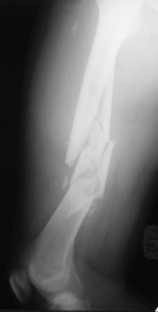
Выбор на пластине основан на том, что проксимальный отломок не цельный, по рентгенограмме видно, что в нём практически до малого вертела имеется осколок. Поэтому у меня опасения, что фиксация внутрикостного стержня в проксимальном отломке не будет достаточно стабильной. 
Владимир

----------- УМЕДХЭБС ЮБУФШ -----------
Вложение не в текстовом формате было извлечено…
Имя     : PICT0179.JPG
Тип     : image/jpeg
Размер  : 8154 байтов
Описание: отсутствует
Url     : http://weborto.net:8080/pipermail/ortho/attachments/20090930/e055a72a/attachment.jpeg 


Подробная информация о списке рассылки Ortho