[Ortho] Следует ли оперировать?

Афанасьев Станислав orthoforum на weborto.net
Пн Апр 5 00:46:30 YEKST 2010


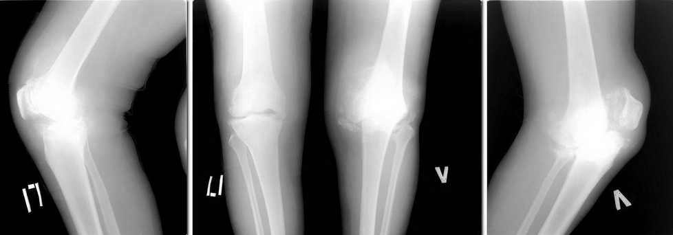
дравствуйте коллеги, возможно кто-то сталкивался с подобной ситуацией. Пациента
беспокоят боли в коленных суставах в течении 5 лет. 1,5 года назад установлен диагноз:
Нейросифилис. Находится на диспансерном наблюдении у венеролога. Обследован онкологом,
фтизиатром "своей" патологии не находят. Бакпосев синовиальной жидкости - нет роста. Боли в
коленях постоянные. Ходить может. Разгибание полное, сгибание 90*. На представленных
рентгенограммах в сравнении с предыдущими, 2 месячной давности (в настоящее время не
располагаю), добавился патологический перелом медиального мыщелка левого бедра. Природа
артроза не ясна, однако, умозрительно - нейросифилис.


Дилемма такова:
1)Эндопротезирование? но беспокоит вопрос о стабильности компонентов протеза в будущем, а
следовательно и целесообразности деяния. 2)Артородезирование? - состоится ли артродез на
фоне продолжающегося разрушения костей. Обе операции тенически вполне выполнимы. И
последнее - следует ли оперировать. Заранее спасибо за добрые советы.
Афанасьев Станислав
----------- УМЕДХЭБС ЮБУФШ -----------
Вложение не в текстовом формате было извлечено…
Имя     : 2010-04-04_221129.jpg
Тип     : image/jpeg
Размер  : 15403 байтов
Описание: отсутствует
Url     : http://weborto.net:8080/pipermail/ortho/attachments/20100405/13deddf9/attachment-0001.jpg 


Подробная информация о списке рассылки Ortho