[Ortho] застарелый запирательный вывих бедра

Maxim Agalakov orthoforum на weborto.net
Ср Апр 7 01:45:11 YEKST 2010


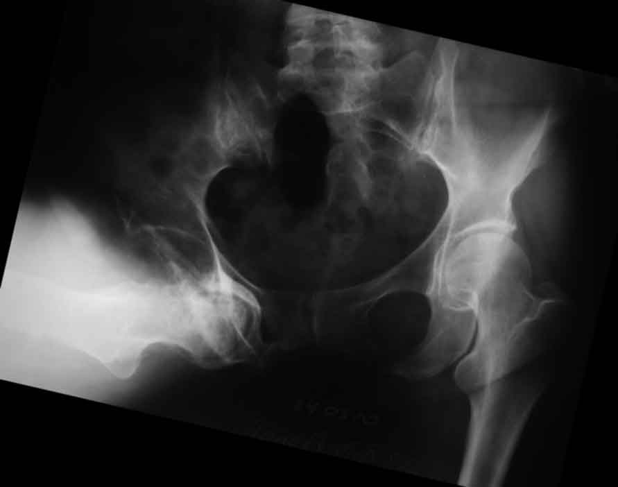
В отделение поступила пациентка 57 лет с застарелым запирательным вывихом правого бедра.

Травма 7 лет назад, упала в лесу, местный врач вправление выполнить не смог, отправил жить
так. По разным причинам поступила для протезирования сейчас. Движения в неоартрозе есть
неплохие за исключением разгибания (с/р 120/90/0), коленный сустав с/р 140/10/0. Значимой
неврологии не определяется Планируется цементное эндопротезирование. Уважаемые
коллеги, поделитесь специфическими трудностями, с которыми сталкивались в подобных
случаях.

С уважением, Максим Агалаков, Е-бург.
----------- УМЕДХЭБС ЮБУФШ -----------
Вложение не в текстовом формате было извлечено…
Имя     : фас.jpg
Тип     : image/jpeg
Размер  : 12834 байтов
Описание: отсутствует
Url     : http://weborto.net:8080/pipermail/ortho/attachments/20100407/3ad7dea2/attachment-0001.jpg 


Подробная информация о списке рассылки Ortho