[Ortho] неправильно-срастающийся черезвертельный перелом после Gamma-long

филипчук orthoforum на weborto.net
Сб Апр 10 21:39:46 YEKST 2010


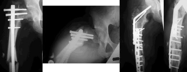
 Вальгизирующая остеотомия, фиксация клинковой 130 градусной в один или два изгиба  в зависимости от СORA по Paley. Пример- пациент тоже из Киева, у нас в Киеве, к сожалению,  эпидемия постравматических варусных деформаций.
филипчук
----------- УМЕДХЭБС ЮБУФШ -----------
Вложение не в текстовом формате было извлечено…
Имя     : example 2.jpg
Тип     : image/jpeg
Размер  : 18266 байтов
Описание: отсутствует
Url     : http://weborto.net:8080/pipermail/ortho/attachments/20100410/d7e00867/attachment-0001.jpg 


Подробная информация о списке рассылки Ortho