[Ortho] застарелый запирательный вывих бедра

Maxim Agalakov orthoforum на weborto.net
Сб Апр 17 11:16:47 YEKST 2010


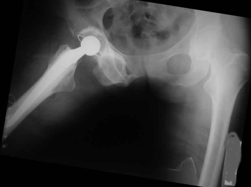
пока сложно сделать нормальный снимок после операции, это первый
Maxim Agalakov
----------- УМЕДХЭБС ЮБУФШ -----------
Вложение не в текстовом формате было извлечено…
Имя     : по.jpg
Тип     : image/jpeg
Размер  : 11367 байтов
Описание: отсутствует
Url     : http://weborto.net:8080/pipermail/ortho/attachments/20100417/a9c2f94a/attachment-0001.jpg 


Подробная информация о списке рассылки Ortho