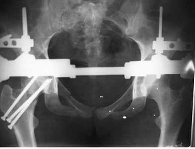
[Ortho] перелом костей таза

Александр Н.(Самара) orthoforum на weborto.net
Пн Апр 26 01:27:42 YEKST 2010


  У нас был такой случай, прооперировал на 3 сутки. Результат полное выздоровление.
Александр Н.(Самара)
----------- УМЕДХЭБС ЮБУФШ -----------
Вложение не в текстовом формате было извлечено…
Имя     : Таз и шейка письмо.jpg
Тип     : image/jpeg
Размер  : 16431 байтов
Описание: отсутствует
Url     : http://weborto.net:8080/pipermail/ortho/attachments/20100426/0d134e06/attachment.jpg 


Подробная информация о списке рассылки Ortho