[Ortho] Перелом плечевой кости.

Бережной Сергей orthoforum на weborto.net
Вт Апр 27 19:13:10 YEKST 2010


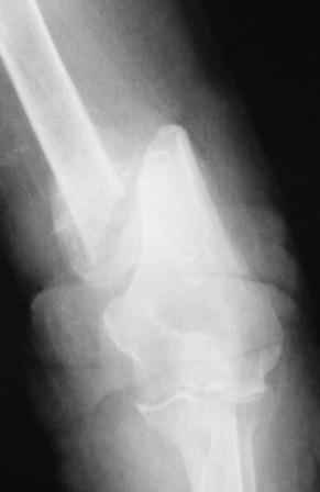
Уважаемые коллеги. Хочу продемонстрировать пример к недавней дискуссии о способности плечевой кости срастаться без операции.

Пациентка 87 лет, деменция, соматически сохранна. Конечность после травмы фиксирована в циркулярной бесподкладочной гипсовой повязке. Через месяц выявлена рана, образовавшаяся вседствие перфорации кожи острым концом дистального фрагмента. Далее - гипсовая лонгета и перевязки дома сиделкой. Через 2 месяца после травмы констатирована консолидация. По поводу концевого остеомиелита выполнена экономная резекция плечевой кости с ушиванием раны наглухо, заживление первичное.   
Бережной Сергей
----------- УМЕДХЭБС ЮБУФШ -----------
Вложение не в текстовом формате было извлечено…
Имя     : image001.jpg
Тип     : image/jpeg
Размер  : 24829 байтов
Описание: отсутствует
Url     : http://weborto.net:8080/pipermail/ortho/attachments/20100428/949586a5/attachment-0002.jpg 
----------- УМЕДХЭБС ЮБУФШ -----------
Вложение не в текстовом формате было извлечено…
Имя     : image003.jpg
Тип     : image/jpeg
Размер  : 25931 байтов
Описание: отсутствует
Url     : http://weborto.net:8080/pipermail/ortho/attachments/20100428/949586a5/attachment-0003.jpg 


Подробная информация о списке рассылки Ortho