[Ortho] Забытая методика остеосинтеза

Савочкина Мария Александровна orthoforum на weborto.net
Чт Апр 29 02:19:24 YEKST 2010


Отдалённый результат забытого метода

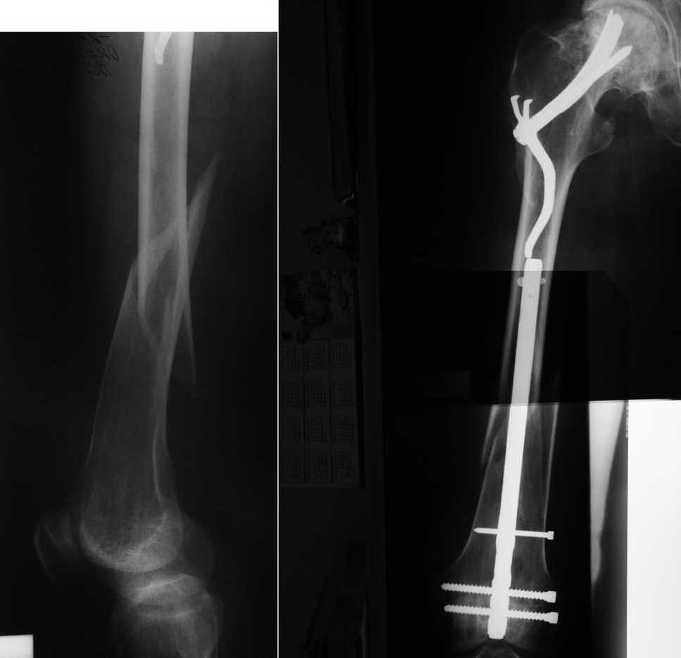
Хотим напомнить о забытом, эффективном методе остеосинтеза медиальных переломов шейки
бедренной кости. Пациенту 55 лет был выполнен остеосинтез медиального перелома шейки
бедренной кости фиксатором Сеппо 15 лет назад. В течение этих лет пациент жил не тужил, пока в
марте сего года не получил перелом диафиза этого же бедра. Мы сочли единственно возможным
применение в данной ситуации метода остеосинтеза штифтом с ретроградным введением. С
удовольствием выслушаем ваши мнения. Возможно у кого-то ещё есть опыт применения
фиксаторов Сеппо.
Доктор Головач О. Н., доктор Савочкина М. А., г. Дзержинский,
Подмосковье.
----------- УМЕДХЭБС ЮБУФШ -----------
Вложение не в текстовом формате было извлечено…
Имя     : be4-after.JPG
Тип     : image/jpeg
Размер  : 40423 байтов
Описание: отсутствует
Url     : http://weborto.net:8080/pipermail/ortho/attachments/20100429/eef53e8a/attachment-0001.jpeg 


Подробная информация о списке рассылки Ortho