[Ortho] Причина раскручивания? [2/3]

Djoldas Kuldjanov orthoforum на weborto.net
Сб Дек 4 10:43:49 YEKT 2010


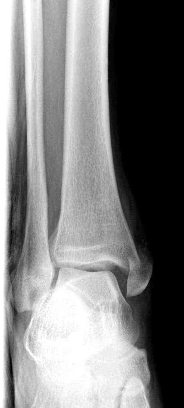
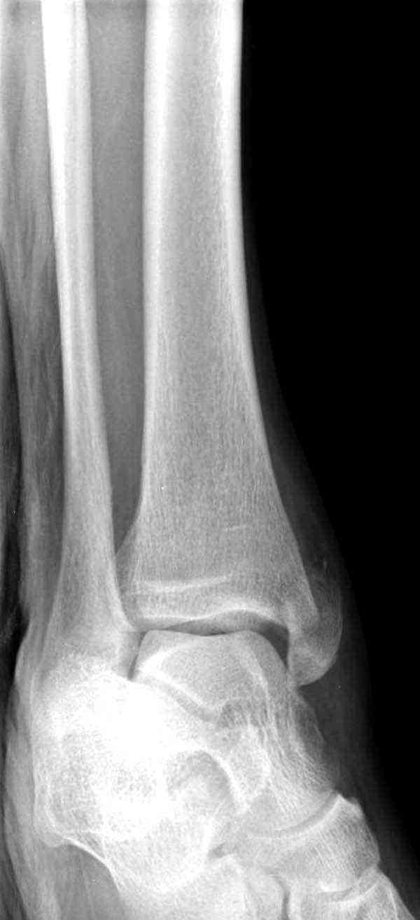
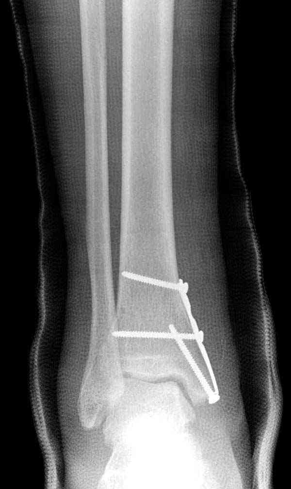
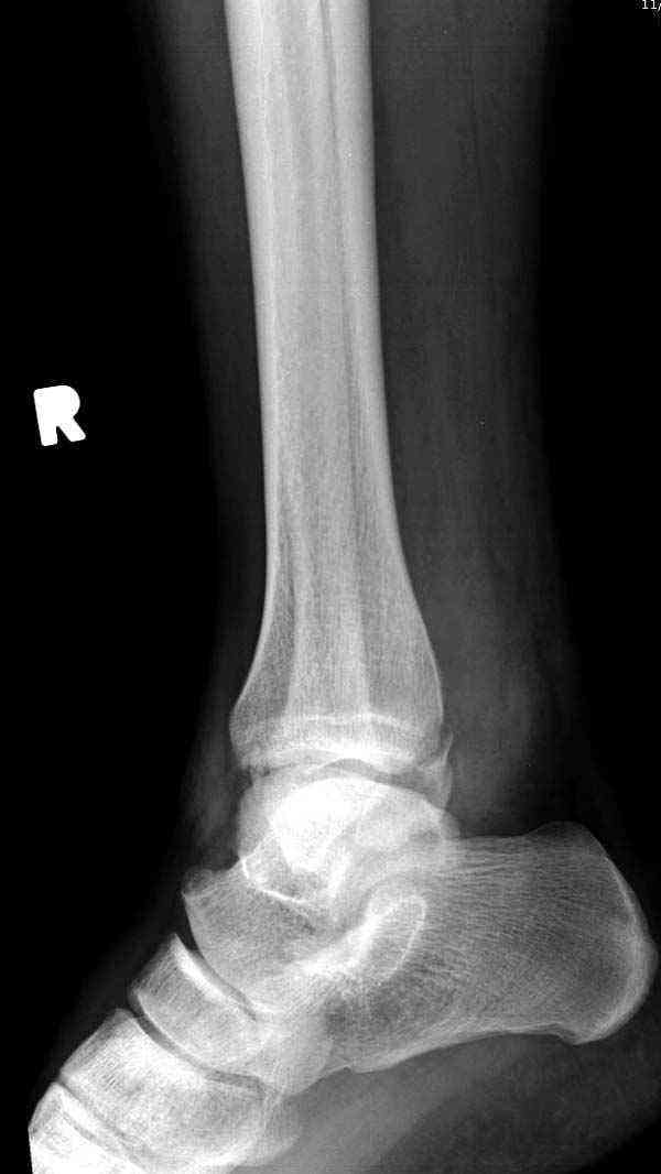
Внутренняя лодыжка


-- 
Djoldas Kuldjanov, M.D.
Associate Professor
Department of Orthopedic Surgery
St. Louis University

Djoldas Kuldjanov
----------- УМЕДХЭБС ЮБУФШ -----------
Вложение не в текстовом формате было извлечено…
Имя     : 1 Med mal fx Hook plate 0.JPG
Тип     : image/jpeg
Размер  : 34347 байтов
Описание: отсутствует
Url     : http://weborto.net:8080/pipermail/ortho/attachments/20101204/d128abe0/attachment-0005.jpeg 
----------- УМЕДХЭБС ЮБУФШ -----------
Вложение не в текстовом формате было извлечено…
Имя     : 2 Med mal fx Hook plate 00.JPG
Тип     : image/jpeg
Размер  : 37531 байтов
Описание: отсутствует
Url     : http://weborto.net:8080/pipermail/ortho/attachments/20101204/d128abe0/attachment-0006.jpeg 
----------- УМЕДХЭБС ЮБУФШ -----------
Вложение не в текстовом формате было извлечено…
Имя     : 3 Med mal fx Hook plate 000.JPG
Тип     : image/jpeg
Размер  : 31027 байтов
Описание: отсутствует
Url     : http://weborto.net:8080/pipermail/ortho/attachments/20101204/d128abe0/attachment-0007.jpeg 
----------- УМЕДХЭБС ЮБУФШ -----------
Вложение не в текстовом формате было извлечено…
Имя     : 4 Med mal fx Hook plate.JPG
Тип     : image/jpeg
Размер  : 24486 байтов
Описание: отсутствует
Url     : http://weborto.net:8080/pipermail/ortho/attachments/20101204/d128abe0/attachment-0008.jpeg 
----------- УМЕДХЭБС ЮБУФШ -----------
Вложение не в текстовом формате было извлечено…
Имя     : 8 Med mal fx Hook plate mortise.jpg
Тип     : image/jpeg
Размер  : 43076 байтов
Описание: отсутствует
Url     : http://weborto.net:8080/pipermail/ortho/attachments/20101204/d128abe0/attachment-0002.jpg 
----------- УМЕДХЭБС ЮБУФШ -----------
Вложение не в текстовом формате было извлечено…
Имя     : 9 Med mal fx Hook plate.JPG
Тип     : image/jpeg
Размер  : 38044 байтов
Описание: отсутствует
Url     : http://weborto.net:8080/pipermail/ortho/attachments/20101204/d128abe0/attachment-0009.jpeg 
----------- УМЕДХЭБС ЮБУФШ -----------
Вложение не в текстовом формате было извлечено…
Имя     : 10 Med mal fx Hook plate.jpg
Тип     : image/jpeg
Размер  : 44800 байтов
Описание: отсутствует
Url     : http://weborto.net:8080/pipermail/ortho/attachments/20101204/d128abe0/attachment-0003.jpg 


Подробная информация о списке рассылки Ortho