[Ortho] Переломы пяток. Fractures of the calcaneus

Салимов Руслан orthoforum на weborto.net
Вс Дек 12 11:21:34 YEKT 2010


Молодая девушка со сросшимися многооскольчатыми переломами пяток и голеней.Young girl
with fractures of the calcaneus

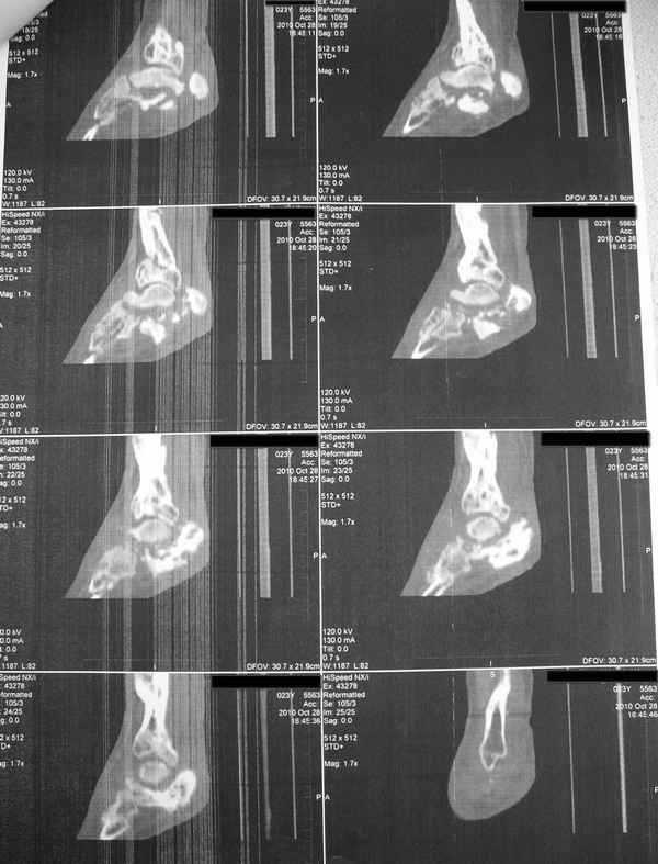
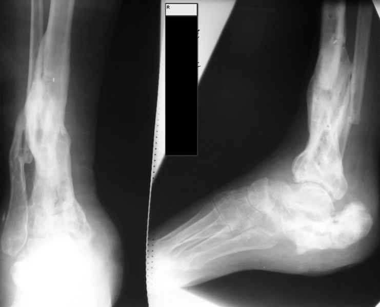
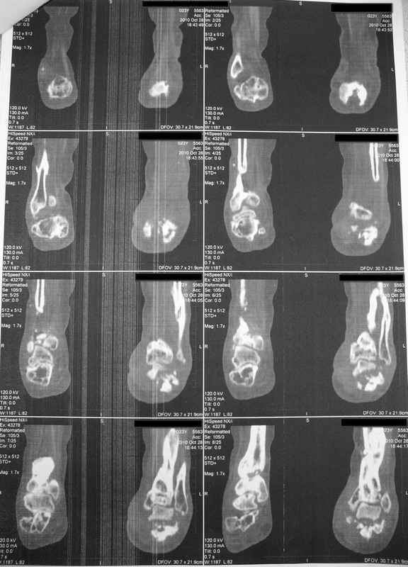
Больная Н., 25 лет, падение с высоты (2008 г.). Жалобы на боли в области голеностопных
суставах, в области пяток при ходьбе. Лечилась в аппаратах внешней фиксации по поводу
открытых оскольчатых переломов обеих голеней, переломов пяток. Далее по поводу
несросшихся переломов голеней ЧКОС аппаратами внешней фиксации. Переломы срослись,
аппараты демонтированы весной 2010г. В левой пяточной области в месте проведения спицы
имеется сукровичное отделяемое. При ревизии гноя нет. Чем помочь девушке?


  Patient N., age
25, falls from heights (2008). Complaints of pain in the ankles, in the heel when walking. She
was treated by external fixation on open comminuted fractures of both legs, fractures of the
calcaneus. Then she was treated by external fixation from nonunion of both legs. Now
fractures are fused, apparatuses removed in the spring of 2010. How to help a girl?
Салимов Руслан
----------- УМЕДХЭБС ЮБУФШ -----------
Вложение не в текстовом формате было извлечено…
Имя     : SANY8116-1.jpg
Тип     : image/jpeg
Размер  : 31235 байтов
Описание: отсутствует
Url     : http://weborto.net:8080/pipermail/ortho/attachments/20101212/9555e2cb/attachment-0007.jpg 
----------- УМЕДХЭБС ЮБУФШ -----------
Вложение не в текстовом формате было извлечено…
Имя     : SANY8117-1.jpg
Тип     : image/jpeg
Размер  : 29323 байтов
Описание: отсутствует
Url     : http://weborto.net:8080/pipermail/ortho/attachments/20101212/9555e2cb/attachment-0008.jpg 
----------- УМЕДХЭБС ЮБУФШ -----------
Вложение не в текстовом формате было извлечено…
Имя     : SANY8119-1.jpg
Тип     : image/jpeg
Размер  : 50532 байтов
Описание: отсутствует
Url     : http://weborto.net:8080/pipermail/ortho/attachments/20101212/9555e2cb/attachment-0009.jpg 
----------- УМЕДХЭБС ЮБУФШ -----------
Вложение не в текстовом формате было извлечено…
Имя     : SANY8120-1.jpg
Тип     : image/jpeg
Размер  : 45575 байтов
Описание: отсутствует
Url     : http://weborto.net:8080/pipermail/ortho/attachments/20101212/9555e2cb/attachment-0010.jpg 
----------- УМЕДХЭБС ЮБУФШ -----------
Вложение не в текстовом формате было извлечено…
Имя     : SANY8121-1.jpg
Тип     : image/jpeg
Размер  : 48356 байтов
Описание: отсутствует
Url     : http://weborto.net:8080/pipermail/ortho/attachments/20101212/9555e2cb/attachment-0011.jpg 
----------- УМЕДХЭБС ЮБУФШ -----------
Вложение не в текстовом формате было извлечено…
Имя     : SANY8122-1.jpg
Тип     : image/jpeg
Размер  : 53319 байтов
Описание: отсутствует
Url     : http://weborto.net:8080/pipermail/ortho/attachments/20101212/9555e2cb/attachment-0012.jpg 
----------- УМЕДХЭБС ЮБУФШ -----------
Вложение не в текстовом формате было извлечено…
Имя     : SANY8123-1.jpg
Тип     : image/jpeg
Размер  : 44321 байтов
Описание: отсутствует
Url     : http://weborto.net:8080/pipermail/ortho/attachments/20101212/9555e2cb/attachment-0013.jpg 


Подробная информация о списке рассылки Ortho