[Ortho] сложный случай протезирования

Рыков А.Г. aleks.rykov на gmail.com
Пт Дек 17 18:31:09 YEKT 2010


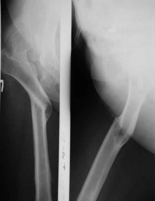
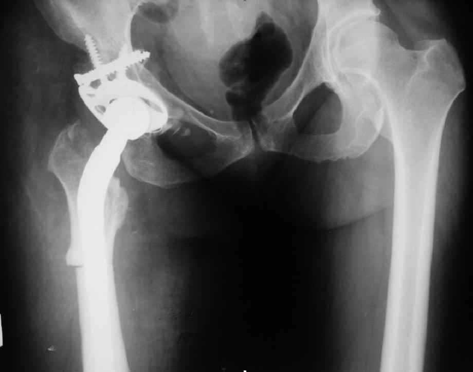
В прищепке случай 1999 года - эндопротезирование после операции Шанца 
Илизарова. Возраст пациентки 45 Коррекция была в 17 лет.  А Рыков Хабаровск.
----- Original Message ----- 
From: "Aндрей" <orthoforum на weborto.net>
To: <ortho на weborto.net>
Sent: Sunday, December 05, 2010 8:01 PM
Subject: [Ortho] сложный случай протезирования


Пациентка 51 года обратилась с жалобами на выраженные боли в правом т/б 
суставе. Болеет с детства. В возрасте 10 лет коррегирующая вальгизирующая 
остеотомия вертельной области правой бедренной кости. В 2001 году тотальное 
гибридное протезирование левого т/б сустава.
 из возможных вариантов решения возможно коррегирующая варизирующая 
остеотомия правой бедренной кости с дальнейшим тотальным протезированием 
(механика?) с удлиненным бедренным компонентом.
Буду благодарен любой помощи.
Aндрей



--------------------------------------------------------------------------------


> _______________________________________________
> Ortho mailing list
> Ortho на weborto.net
> http://weborto.net:8080/mailman/listinfo/ortho
> 
----------- УМЕДХЭБС ЮБУФШ -----------
Вложение не в текстовом формате было извлечено&hellip;
Имя     : 1.jpg
Тип     : image/jpeg
Размер  : 10313 байтов
Описание: отсутствует
Url     : http://weborto.net:8080/pipermail/ortho/attachments/20101217/b3c80e5d/attachment-0002.jpg 
----------- УМЕДХЭБС ЮБУФШ -----------
Вложение не в текстовом формате было извлечено&hellip;
Имя     : 2.jpg
Тип     : image/jpeg
Размер  : 24938 байтов
Описание: отсутствует
Url     : http://weborto.net:8080/pipermail/ortho/attachments/20101217/b3c80e5d/attachment-0003.jpg 


Подробная информация о списке рассылки Ortho