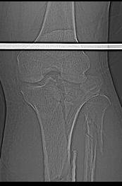
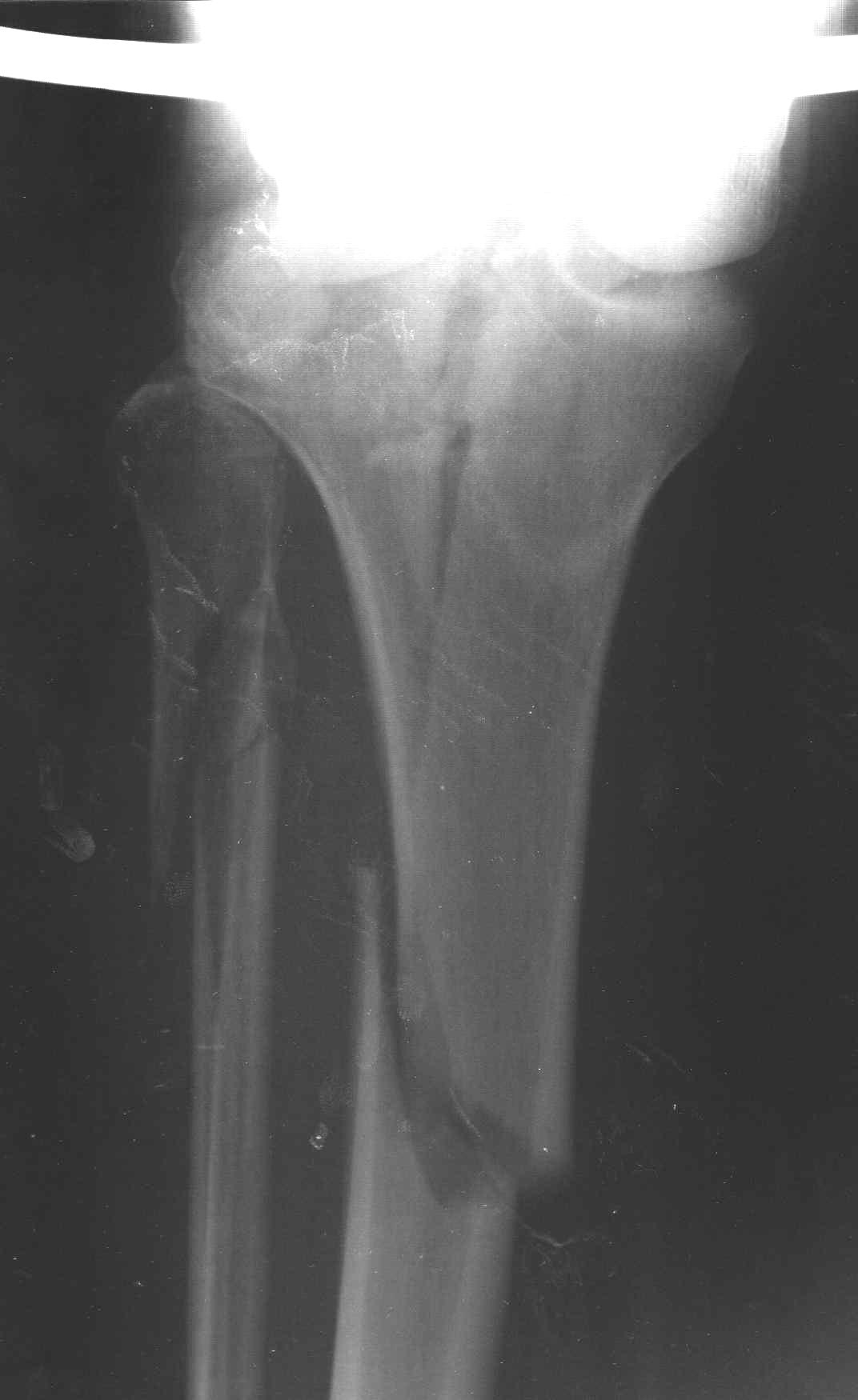
[Ortho] перелом мыщелка и диафиза большеберцовой кости - тактика?

Антон Лебединец ortoped1981 на mail.ru
Ср Дек 22 14:44:56 YEKT 2010


Пациенту сделали КТ - ухитрились сделать на шине Белера (не давал положить прямую ногу) - срезали передний отдел. Планируется на пятницу (24.12) на операцию - синтез  длинной мыщелковой LCP-пластиной Synthes :). Отек ближе к слову умеренный (окружность голени +4 см по сравнению со здоровой). КТ и снимок на вытяжении прилагаются. 
Спасибо всем за высказанные мнения, о результатах обязательно проинформирую.

----------- следущая часть -----------
Вложение не в текстовом формате было извлечено…
Имя     : отсутствует
Тип     : image/jpeg
Размер  : 30062 байтов
Описание: отсутствует
Url     : http://weborto.net:8080/pipermail/ortho/attachments/20101222/5da12c5b/attachment-0004.jpeg 
----------- следущая часть -----------
Вложение не в текстовом формате было извлечено…
Имя     : отсутствует
Тип     : image/jpeg
Размер  : 29243 байтов
Описание: отсутствует
Url     : http://weborto.net:8080/pipermail/ortho/attachments/20101222/5da12c5b/attachment-0005.jpeg 
----------- следущая часть -----------
Вложение не в текстовом формате было извлечено…
Имя     : отсутствует
Тип     : image/jpeg
Размер  : 7309 байтов
Описание: отсутствует
Url     : http://weborto.net:8080/pipermail/ortho/attachments/20101222/5da12c5b/attachment-0006.jpeg 
----------- следущая часть -----------
Вложение не в текстовом формате было извлечено…
Имя     : отсутствует
Тип     : image/jpeg
Размер  : 73064 байтов
Описание: отсутствует
Url     : http://weborto.net:8080/pipermail/ortho/attachments/20101222/5da12c5b/attachment-0007.jpeg 


Подробная информация о списке рассылки Ortho