[Ortho] Псевдоартроз дистального отдела бедра. Distal femur nonunion

Maxim Agalakov orthoforum на weborto.net
Ср Дек 29 00:22:12 YEKT 2010


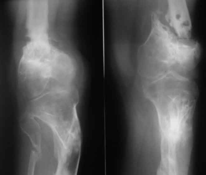
Псевдоартроз дистального отдела бедра. Distal femur nonunion у пациента 26 лет
                
Открытый перелом н/3 бедра и в/3 голени в 2006 году. выполнен малоинвазивный накостный остеосинтез после заживления ран (снимки утеряны), через 3 мес после остеосинтеза - глубокое нагноение, консультировался и лечился с 2006 года в одном из лучших НИИ. многократные остеотомии, компрессии, дистракции. В августе 2010 - снят аппарат в поликлинике в центре, рекомендации - ходить в ортезе, показаться через 2 мес, консультирован в другом НИИ - рекомендовано дообследование (приличный список, каждый раз добавлено нечто новое).
В итоге попал к нам, движения в к/с отсутствуют, подвижность только на уровне ложняка, передненаружная поверхность области к/с представляет собой многочисленные рубцы от доступов, закрытых свищевых ходов. Свищей нет на протяжении 3 лет, кровь не воспалительная, СРБ - отс.

Подскажите тактику. Размышляем гвоздь антеградно до метафиза б/б кости, пластина с костной пластикой по внутренней поверхности, кожно-мышечные лоскуты по наружной (для улучшения кровоснабжения) с какой-либо фиксацией? другие варинты (ЧКО в чистом виде пока не рассматриваем , т.к. делали до этого в более компетентном по этим вопросам учреждении)
----------- УМЕДХЭБС ЮБУФШ -----------
Вложение не в текстовом формате было извлечено…
Имя     : Изображение-207.jpg
Тип     : image/jpeg
Размер  : 9606 байтов
Описание: отсутствует
Url     : http://weborto.net:8080/pipermail/ortho/attachments/20101229/7a5dd587/attachment-0003.jpg 
----------- УМЕДХЭБС ЮБУФШ -----------
Вложение не в текстовом формате было извлечено…
Имя     : Изображение-208.jpg
Тип     : image/jpeg
Размер  : 12574 байтов
Описание: отсутствует
Url     : http://weborto.net:8080/pipermail/ortho/attachments/20101229/7a5dd587/attachment-0004.jpg 
----------- УМЕДХЭБС ЮБУФШ -----------
Вложение не в текстовом формате было извлечено…
Имя     : Изображение-209.jpg
Тип     : image/jpeg
Размер  : 11978 байтов
Описание: отсутствует
Url     : http://weborto.net:8080/pipermail/ortho/attachments/20101229/7a5dd587/attachment-0005.jpg 


Подробная информация о списке рассылки Ortho