[Ortho] Ложный сустав плечевой кости

Владимир Шевченко orthoforum на weborto.net
Вс Фев 7 14:32:00 YEKT 2010


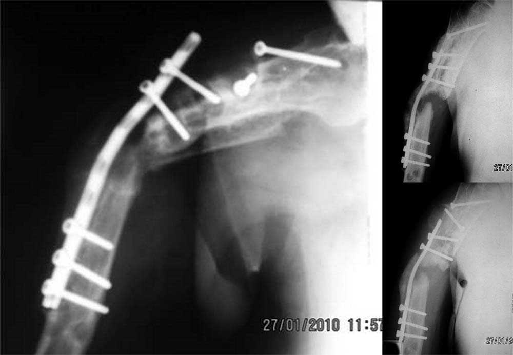
Уважаемые коллеги! Имеется случай ложного сустава плечевой кости с дефектом костной ткани,
последствиями остеосинтеза.

Больной Г., 54 – х лет, получил закрытый перелом правой плечевой кости 2 года назад. Травма
непрямая. Лечился в профильном отделении. Оперирован дважды – первый раз закрытый
блокируемый остеосинтез штифтом Ключевского с просверленными отверстиями для
блокировки. Сращения не достигнуто, остеосинтез несостоятелен, фиксатор удален.
Оперирован повторно – выполнена открытая репозиция, накостный остеосинтез. К сожалению,
какого – либо документального материала о лечении на предыдущем этапе не сохранилось. В
настоящее время ожидается госпитализация в ортопедическое отделение. Локально:
множественные послеоперационные рубцы по всему плечу, состояние их удовлетворительное,
признаков воспаления нет. Визуально варусная деформация плеча. Отведение в плечевом
суставе до 60 град. В с\з – в\з плеча патологическая подвижность, при усилении деформации
пальпаторно определяется верхний конец пластины. Болевой синдром не выражен. В анамнезе
после второй операции – нейропатия лучевого нерва. В настоящее время клиники нет. Хотелось
бы услышать мнение коллег по данному случаю. С уважением. В. Шевченко, г. Хабаровск.
Владимир Шевченко
----------- УМЕДХЭБС ЮБУФШ -----------
Вложение не в текстовом формате было извлечено…
Имя     : 000 .jpg
Тип     : image/jpeg
Размер  : 46303 байтов
Описание: отсутствует
Url     : http://weborto.net:8080/pipermail/ortho/attachments/20100207/c2a4c37e/attachment-0001.jpg 


Подробная информация о списке рассылки Ortho