[Ortho] Результат консервативного лечения короткого косого перелома диафиза плеча врачами общей практики в условиях развивающейся страны у больного low social class

sergey adonin orthoforum на weborto.net
Вс Фев 7 22:12:30 YEKT 2010


На формирование этого сообщения повлияли обсуждения «Ложный сустав плечевой кости» ( на два сообщения ниже) и «Сложный перелом плечевой кости» от 26 января.
Конспективно.
Предыдущий перелом плеча – пару лет назад ДТП. К сожалению, этот крайне важный жизненный опыт не изменил стиль вождения больного
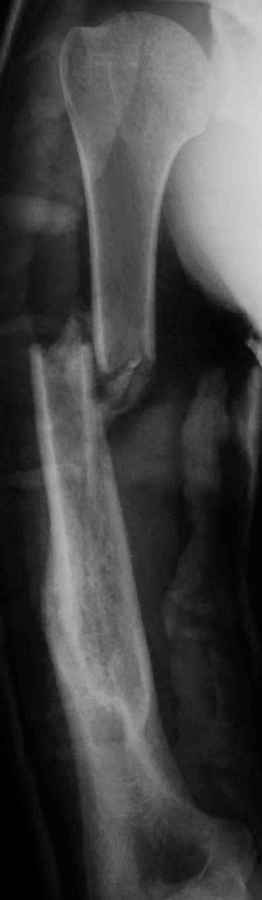
Последний перелом плеча – ДТП 2 мес назад. В связи с дефицитом как специалистов – ортопедов, так и операционного времени в принципе больной был осмотрен в приемном покое врачом общей практики, наложена U-образная гипсовая повязка и отправлен домой. Я впервые увидел больного через 6 нед после травмы, сделал снимки и снял повязку. Фотографии больного  - 2 мес после травмы. снимки - при травме и через 6 недель

Вывод: Если плечо не трогать, оно нормально срастается.

Тот же самый вывод наукообразно: данное клиническое наблюдение свидетельствует, что консервативное лечение переломов диафиза плеча является патофизиологически оптимальным, приводит к удовлетворительному функциональному результату и явлеяется наиболее экономически щадащим как для больного, так и для системы государственного здравоохранения в целом.

Сергей
----------- УМЕДХЭБС ЮБУФШ -----------
Вложение не в текстовом формате было извлечено…
Имя     : IMG_0178.jpg
Тип     : image/jpeg
Размер  : 35227 байтов
Описание: отсутствует
Url     : http://weborto.net:8080/pipermail/ortho/attachments/20100207/57c65871/attachment-0005.jpg 
----------- УМЕДХЭБС ЮБУФШ -----------
Вложение не в текстовом формате было извлечено…
Имя     : IMG_0180.jpg
Тип     : image/jpeg
Размер  : 34450 байтов
Описание: отсутствует
Url     : http://weborto.net:8080/pipermail/ortho/attachments/20100207/57c65871/attachment-0006.jpg 
----------- УМЕДХЭБС ЮБУФШ -----------
Вложение не в текстовом формате было извлечено…
Имя     : IMG_0181.jpg
Тип     : image/jpeg
Размер  : 40191 байтов
Описание: отсутствует
Url     : http://weborto.net:8080/pipermail/ortho/attachments/20100207/57c65871/attachment-0007.jpg 
----------- УМЕДХЭБС ЮБУФШ -----------
Вложение не в текстовом формате было извлечено…
Имя     : IMG_0182.jpg
Тип     : image/jpeg
Размер  : 19564 байтов
Описание: отсутствует
Url     : http://weborto.net:8080/pipermail/ortho/attachments/20100207/57c65871/attachment-0008.jpg 
----------- УМЕДХЭБС ЮБУФШ -----------
Вложение не в текстовом формате было извлечено…
Имя     : IMG_0184.jpg
Тип     : image/jpeg
Размер  : 22924 байтов
Описание: отсутствует
Url     : http://weborto.net:8080/pipermail/ortho/attachments/20100207/57c65871/attachment-0009.jpg 


Подробная информация о списке рассылки Ortho