[Ortho] Ложный сустав плечевой кости

Виталий Дрягин orthoforum на weborto.net
Пн Фев 8 21:46:36 YEKT 2010


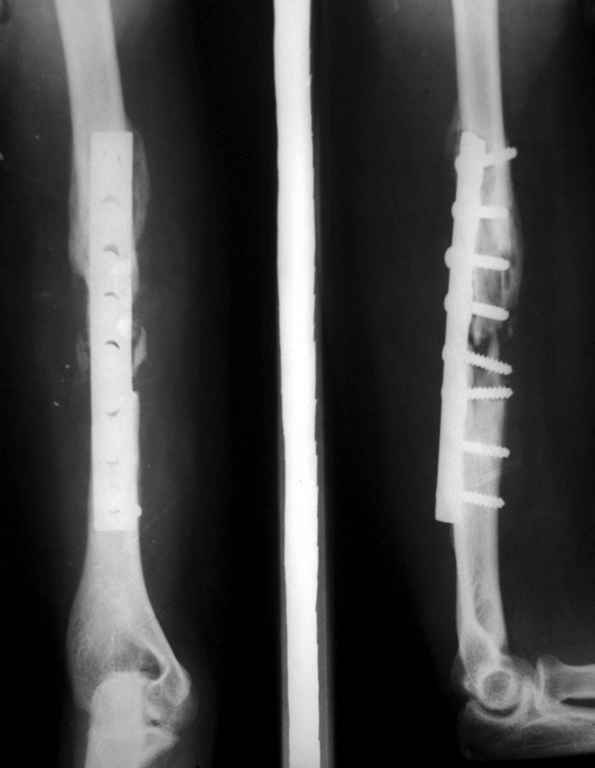
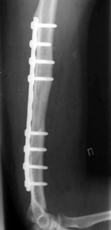
Владимир.Выделяем свои малоберцовую кость практически
полность.Выпиливаем замок там и тут. Синтез. Не типичный случай,но
перестраивается хорошо даже диафиз. рЕНТГЕН ПРИЛАГАЮ

С уважением Дрягин



----------- УМЕДХЭБС ЮБУФШ -----------
Вложение не в текстовом формате было извлечено…
Имя     : Рисунок1.jpg
Тип     : image/jpeg
Размер  : 14740 байтов
Описание: отсутствует
Url     : http://weborto.net:8080/pipermail/ortho/attachments/20100208/ce18b105/attachment-0003.jpg 
----------- УМЕДХЭБС ЮБУФШ -----------
Вложение не в текстовом формате было извлечено…
Имя     : Рисунок2.jpg
Тип     : image/jpeg
Размер  : 17800 байтов
Описание: отсутствует
Url     : http://weborto.net:8080/pipermail/ortho/attachments/20100208/ce18b105/attachment-0004.jpg 
----------- УМЕДХЭБС ЮБУФШ -----------
Вложение не в текстовом формате было извлечено…
Имя     : Рисунок3.jpg
Тип     : image/jpeg
Размер  : 8856 байтов
Описание: отсутствует
Url     : http://weborto.net:8080/pipermail/ortho/attachments/20100208/ce18b105/attachment-0005.jpg 


Подробная информация о списке рассылки Ortho