[Ortho] несросшийся перелом голени после БИОС

соловьев игорь orthoforum на weborto.net
Сб Фев 13 05:32:30 YEKT 2010


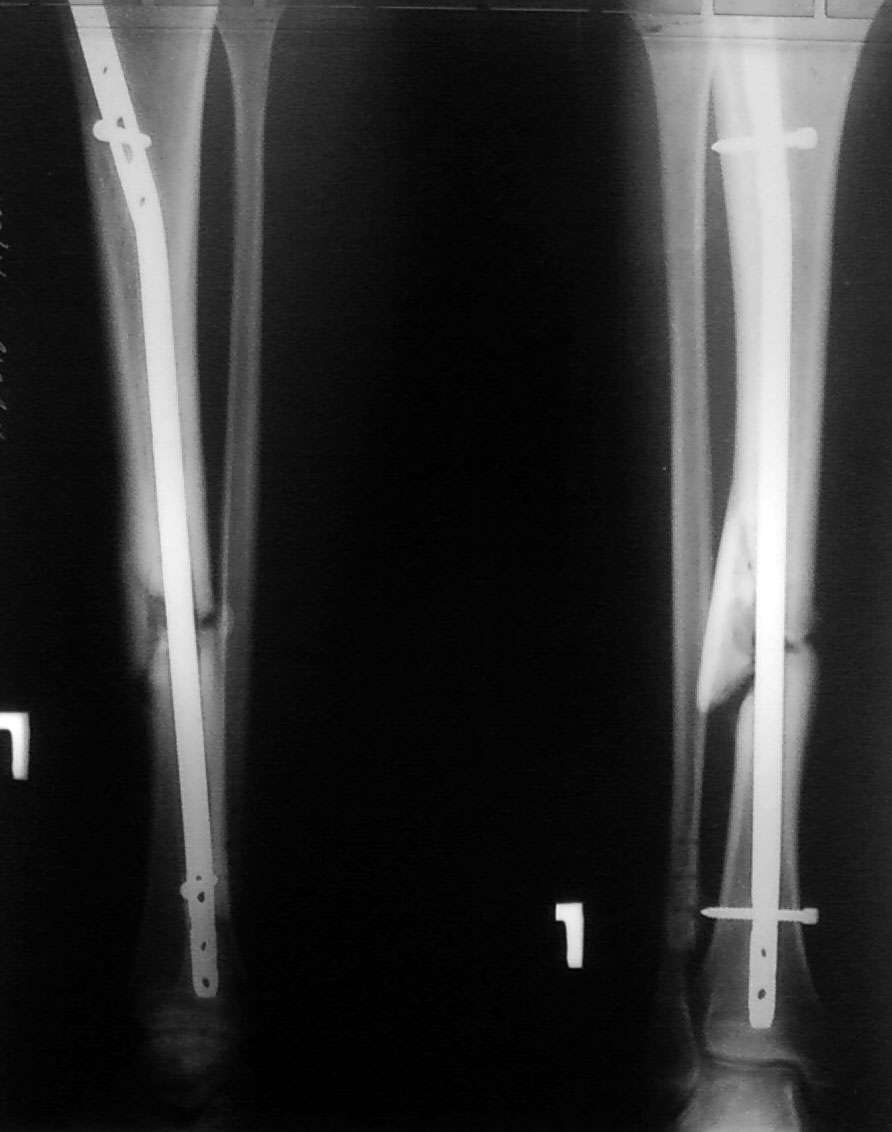
Несросшийся перелом через 9 месяцев после БИОС голени

Пациент 24лет травма в мае 2009г, сбит а/м. диагноз: вторично-открытый перелом правой м/б
кости в н/3, оскольчатый перелом б/б кости справа. Рана по наружной поверхности 2*1 см. В
первые сутки выполненно ПХО открытого перелома м/б кости остеосинтез 1/3трубчатой
пластины (синтез выполнен из-за того, что проксимальный отломок мог вызвать угрозу
внутреннего пролежня) и БИОС б/б кости стерженем Chm в статическом варианте. П/о период без
осложнений. Через 2 месяца выполнена динамизация. Ходил без дополнительной опоры. Через
6месяцев обратился с жалобами на боль в н/3 голени. На контрольном снимке сломана пластина
1/3 трубки, вполнена операция - удаление пластины. Обратился сегодня с жалобами на боли в
области концов стержня (в/3 и н/3), боль при ходьбе. Что делать? Мы думаем заменить стержень
на 11мм (сейчас 9мм) и рассверлить канал с целью освежить зону перелома. СПАСИБО.
соловьев игорь
----------- УМЕДХЭБС ЮБУФШ -----------
Вложение не в текстовом формате было извлечено…
Имя     : Фото-0219.jpg
Тип     : image/jpeg
Размер  : 57823 байтов
Описание: отсутствует
Url     : http://weborto.net:8080/pipermail/ortho/attachments/20100213/392e009c/attachment-0001.jpg 


Подробная информация о списке рассылки Ortho