[Ortho] Лоозеровская зона

Женя orthoforum на weborto.net
Сб Фев 13 05:42:57 YEKT 2010


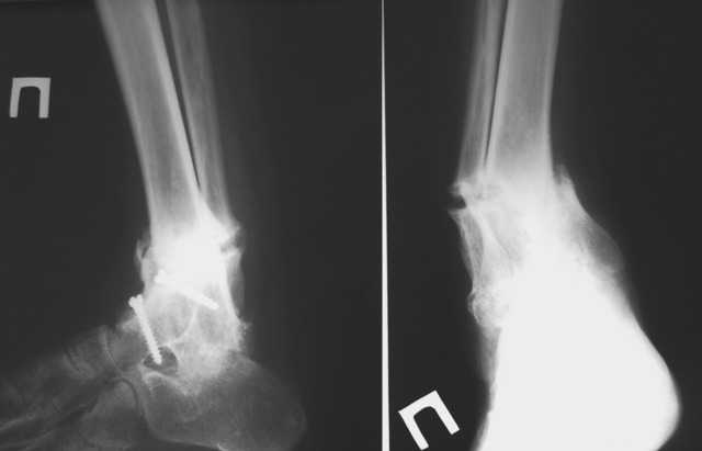
Уважаемые коллеги! Обращаюсь за советом. Пациентка, страдающая ревматоидным артритом, 2
года назад была оперирована по поводу вторичного деформирующего артроза голеностопного
сустава с варусной деформацией на этом уровне. В то время деформация была обусловлена
деструкцией тарана, поэтому был выполнен артродез по Кэмпбеллу. Спустя 2 месяца после
операции сформировался костный анкилоз голеностопа в физиологическом положении+анкилоз
задней фасетки подтарана, пациентка была в восторге, т.к. до этого намаялась со стоптанной
обувью, нарушенной походкой, с ортезами и, соответсвенно, с потертостями и
гиперкератозами. Тем не менее, нынче обращается с ТЕМИ ЖЕ ПРОБЛЕМАМИ, которые исподволь
нарастали в течение 1,5-2 месяцев. Делаем снимки и, о ужас, видим лоозеровскую зону выше
анкилоза, клинически тот-же варус. Ясно, что лоозера срастим как-нибудь, но, наверное,
надо-бы еще что-то сделать, дабы избежать повторов. PS. С пациенткой доверительные,
хорошие отношения.
Женя
----------- УМЕДХЭБС ЮБУФШ -----------
Вложение не в текстовом формате было извлечено…
Имя     : 1.JPG
Тип     : image/jpeg
Размер  : 11110 байтов
Описание: отсутствует
Url     : http://weborto.net:8080/pipermail/ortho/attachments/20100213/6b82de5a/attachment.jpeg 


Подробная информация о списке рассылки Ortho