[Ortho] Варусная деформация бедра

Abdurashid orthoforum на weborto.net
Вт Фев 16 21:39:45 YEKT 2010


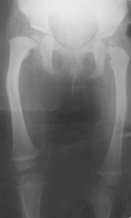
Уважаемые коллеги. Осмотрена девочка 2007г.р. При рождении
двухсторонная косолапость, двухсторонный врожденный вывых бедер,
лечилась консервативно.  
В данное время ходит самостоятельно, прихрамывает на прав.ногу, прав.
нога укорочена на 3,5см и и находится в положении внутренней ротации
40гр. Леч.врач зав. кафедрой Т.О.мед. института.
Планируется подвертельная деротационно-вальгизирующая остеотомия
бедра. или остетомия на верщине деформации бедра с удлиненим по
методу Илизарова.  

Уважаемые ортопеды! Просим помочь по тактике лечения.
С уважением Абдурашид.
----------- УМЕДХЭБС ЮБУФШ -----------
Вложение не в текстовом формате было извлечено…
Имя     : IMG_0503.jpg
Тип     : image/jpeg
Размер  : 8708 байтов
Описание: отсутствует
Url     : http://weborto.net:8080/pipermail/ortho/attachments/20100216/012d1ec3/attachment.jpg 


Подробная информация о списке рассылки Ortho