[Ortho] Перелом плеча - тактика лечения

Alexander Chelnokov alex на weborto.net
Чт Фев 18 01:08:54 YEKT 2010


Dear Адонин.

You wrote 17 февраля 2010 г., 21:16:00:

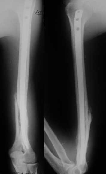
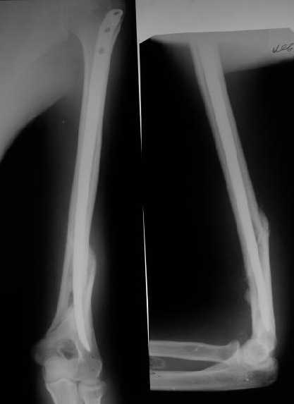
А> антероградный - 30 процентов имеют боль в плече, связанную с повреждением ротаторной манжеты

Мы в последние годы все еще используем для переломов такой
локализации эластичные титановые стержни (по мотивам ярославских
разработок, Зверева-Ключевского). Такой стержень можно вводить не
через сухожилие надостной мышцы, а дистальнее.
Снимки до, через 1 и 2 мес. после синтеза.

-- 
Best regards,
Alexander N. Chelnokov
Ural Scientific Research Institute
of Traumatology and Orthopaedics
7, Bankovsky str. Ekaterinburg 620014 Russia 
-------------- next part --------------
A non-text attachment was scrubbed...
Name: get_image1.jpg
Type: image/jpeg
Size: 5637 bytes
Desc: not available
Url : http://weborto.net:8080/pipermail/ortho/attachments/20100218/be7c2551/attachment-0003.jpg 
-------------- next part --------------
A non-text attachment was scrubbed...
Name: get_image2.jpg
Type: image/jpeg
Size: 9113 bytes
Desc: not available
Url : http://weborto.net:8080/pipermail/ortho/attachments/20100218/be7c2551/attachment-0004.jpg 
-------------- next part --------------
A non-text attachment was scrubbed...
Name: get_image3.jpg
Type: image/jpeg
Size: 8123 bytes
Desc: not available
Url : http://weborto.net:8080/pipermail/ortho/attachments/20100218/be7c2551/attachment-0005.jpg 


Подробная информация о списке рассылки Ortho