[Ortho] Состояние после гнойного гонита

Александр Мешков orthoforum на weborto.net
Чт Фев 18 17:43:54 YEKT 2010


Уважаемые коллеги, просим совета.

В госпиталь переведена женщина, врач, 1970 года рождения, 110 кг. 26.10.2009 г. в левый коленный сустав однократно введен Дипроспан по поводу деформирующего артроза. 02.11.2009 развился гнойный гонит. Полость сустава дренирована, проточно-промывное дренирование, наложен спице-стержневой КДА. Развился остеомиелит бедра и голени. Демонтирован КДА. По стихании гнойного процесса и заживлении ран начато реабилитационное лечение.
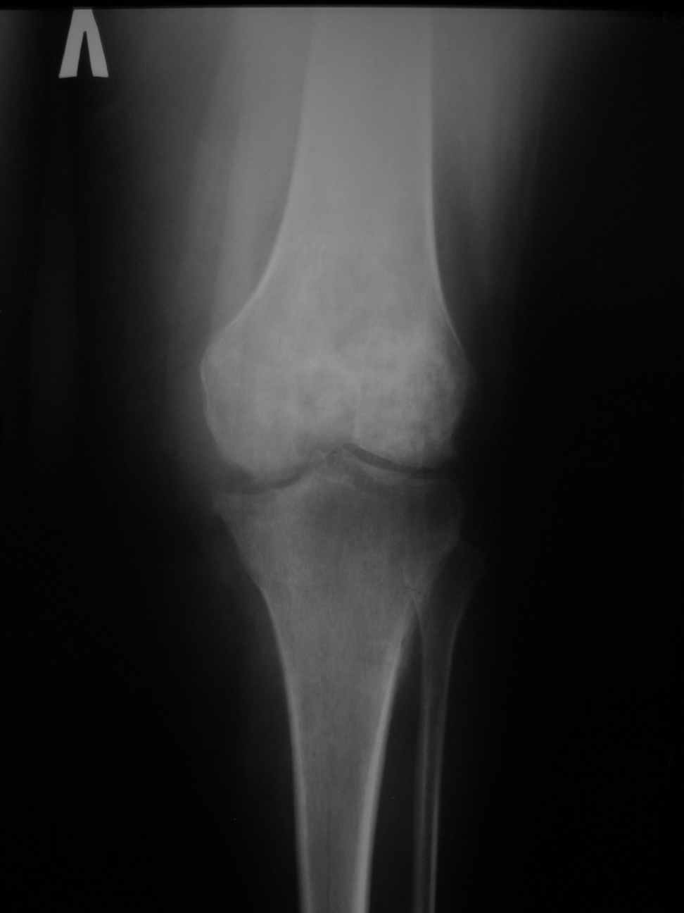
При поступлении к нам: Ходит на костылях с дозированной нагрузкой на левую ногу. На передней поверхности бедра и голени втянутые рубцы от спиц и стержней без признаков воспаления. Левый коленный сустав деформирован, вальгусная установка, разгибание 175 градусов, сгибание 120, движения болезненны. Надколенник фиксирован. При вальгусной нагрузке резкая болезненность. Осевая нагрузка безболезненна. При ходьбе - чувство нестабильности и боль по наружной поверхности сустава. Трофических и неврологических расстройств на конечности нет.
Хочется услышать мнение о тактике лечения.
По нашему мнению, возможности эндопротезирования на настоящий момент, учитывая наличие остеомиелита, нет. Показано ли артродезирование?
Как вариант рассматривается артродез длинным гвоздем с цементной муфтой и антибиотиками.
Если все же готовить больную для протезирования в отдаленном периоде, целесообразно ли выполнить артроскопический артролиз в ближайшее время для восстановления амплитуды движений в коленном суставе? Можно ли ожидать спонтанного анкилоза при опорной нагрузке без операций?
С уважением, Александр Мешков.
ФГУ "574 ВКГ МВО" МО РФ г. Москва.
----------- УМЕДХЭБС ЮБУФШ -----------
Вложение не в текстовом формате было извлечено…
Имя     : 5.jpg
Тип     : image/jpeg
Размер  : 25578 байтов
Описание: отсутствует
Url     : http://weborto.net:8080/pipermail/ortho/attachments/20100218/894ff0c6/attachment-0001.jpg 


Подробная информация о списке рассылки Ortho