[Ortho] Перелом плеча - тактика лечения (продолжение)

Юрий Алексеевич vertebra на mail.iks.ru
Вт Фев 23 16:21:53 YEKT 2010


Уважаемые коллеги!
Огромное  спасибо всем принимающим участие в дискуссии. Вначале отвечу
на  поступавшие  персональные  вопросы:  1.  обстоятельства  травмы  -
соревнования  по  армрестлингу (от себя замечу, что у военных нередкая
травма  в  последнее  время! На мой взгляд это связано с вовлечением в
это  дело  неподготовленных  людей - командирам нравится, т.к. в плане
реквизита  намного  легче  организовать чем традиционное перетягивание
каната...).   2.   в   отношении  провокационной  составляющей  -  она
присутствует,  но  лишь  в  той  степени  в  какой любое инициирование
дискуссии  несет  в  себе  элемент  провокации...  3. про актуальность
консервативного лечения - мне кажется это актуально всегда и при любой
локализации  если  врач  владеет  методом,  например,  часто  наблюдал
великолепные   функциональные   результаты   консервативного   лечения
переломо-вывихов  голеностопных  суставов...  Тут только надо помнить,
что  "консервативное" это тоже лечение (контроль, тяги, перекладывание
повязок),  а  не  просто накладываем гипс и через энное время говорим,
что  не  получилось  и  берем  на  операцию. Теперь непосредственно по
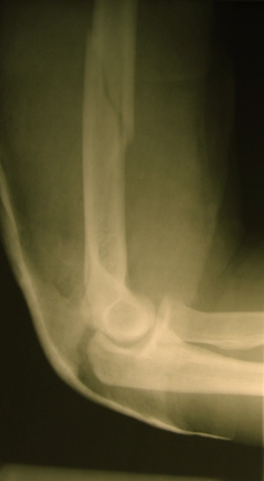
больному.   Лечим   функциональной   повязкой,   добились   вот   чего
(приложение).  Будем  признательны  за  дальнейший  комментарий  - мое
мнение, что можно продолжить без операции.


  P.S. Уважаемый Михаил Васильев, спасибо за приглашение  к общению,
  всегда рад в любой форме. Мой e-mail:vertebra на mail.iks.ru

Юрий Алексеевич Булахтин


----------- УМЕДХЭБС ЮБУФШ -----------
Вложение не в текстовом формате было извлечено…
Имя     : Функциональная повязка по Г.И.Турнеру.JPG
Тип     : image/jpeg
Размер  : 97142 байтов
Описание: отсутствует
Url     : http://weborto.net:8080/pipermail/ortho/attachments/20100223/f10e997d/attachment-0004.jpeg 
----------- УМЕДХЭБС ЮБУФШ -----------
Вложение не в текстовом формате было извлечено…
Имя     : Праздничная репозиция.JPG
Тип     : image/jpeg
Размер  : 52333 байтов
Описание: отсутствует
Url     : http://weborto.net:8080/pipermail/ortho/attachments/20100223/f10e997d/attachment-0005.jpeg 
----------- УМЕДХЭБС ЮБУФШ -----------
Вложение не в текстовом формате было извлечено…
Имя     : Прямой.JPG
Тип     : image/jpeg
Размер  : 43447 байтов
Описание: отсутствует
Url     : http://weborto.net:8080/pipermail/ortho/attachments/20100223/f10e997d/attachment-0006.jpeg 
----------- УМЕДХЭБС ЮБУФШ -----------
Вложение не в текстовом формате было извлечено…
Имя     : Боковой.JPG
Тип     : image/jpeg
Размер  : 44426 байтов
Описание: отсутствует
Url     : http://weborto.net:8080/pipermail/ortho/attachments/20100223/f10e997d/attachment-0007.jpeg 


Подробная информация о списке рассылки Ortho