[Ortho] Перелом плеча - тактика лечения

Юрий Алексеевич Булахтин orthoforum на weborto.net
Вт Фев 23 21:28:32 YEKT 2010


         Уважаемые коллеги!
 Огромное спасибо всем принимающим участие в дискуссии. Вначале отвечу на поступавшие персональные вопросы: 1. обстоятельства травмы - соревнования по армрестлингу (от себя замечу, что у военных нередкая  травма в последнее  время! На мой взгляд это связано с вовлечением в это дело неподготовленных людей - командирам нравится, т.к. в плане реквизита  намного легче организовать чем традиционное перетягивание каната...). 2. в отношении провокационной составляющей - она присутствует, но лишь в той степени в какой любое инициирование дискуссии несет в себе элемент провокации... 3. про актуальность консервативного лечения - мне кажется это актуально всегда и при любой локализации если врач владеет методом, например, часто наблюдал великолепные функциональные результаты консервативного лечения переломо-вывихов голеностопных суставов... Тут только надо помнить, что "консервативное" это тоже лечение (контроль, тяги, перекладывание повязок), а не просто накладываем гипс и через энное время говорим, что не получилось и берем на операцию.
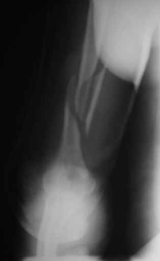
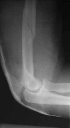
 Теперь непосредственно по больному. Лечим функциональной повязкой, добились вот чего (приложение). Будем признательны за дальнейший комментарий - мое мнение, что можно продолжить без операции.

   Юрий Алексеевич Булахтин   
----------- УМЕДХЭБС ЮБУФШ -----------
Вложение не в текстовом формате было извлечено…
Имя     : Боковой.JPG
Тип     : image/jpeg
Размер  : 5517 байтов
Описание: отсутствует
Url     : http://weborto.net:8080/pipermail/ortho/attachments/20100223/c244ab13/attachment-0004.jpeg 
----------- УМЕДХЭБС ЮБУФШ -----------
Вложение не в текстовом формате было извлечено…
Имя     : Праздничная репозиция.JPG
Тип     : image/jpeg
Размер  : 26065 байтов
Описание: отсутствует
Url     : http://weborto.net:8080/pipermail/ortho/attachments/20100223/c244ab13/attachment-0005.jpeg 
----------- УМЕДХЭБС ЮБУФШ -----------
Вложение не в текстовом формате было извлечено…
Имя     : Прямой.JPG
Тип     : image/jpeg
Размер  : 6460 байтов
Описание: отсутствует
Url     : http://weborto.net:8080/pipermail/ortho/attachments/20100223/c244ab13/attachment-0006.jpeg 
----------- УМЕДХЭБС ЮБУФШ -----------
Вложение не в текстовом формате было извлечено…
Имя     : Функциональная повязка по Г.И.Турнеру.JPG
Тип     : image/jpeg
Размер  : 14575 байтов
Описание: отсутствует
Url     : http://weborto.net:8080/pipermail/ortho/attachments/20100223/c244ab13/attachment-0007.jpeg 


Подробная информация о списке рассылки Ortho