[Ortho] Мальчик 15 лет Застарелый голеностоп

Artemiev alex_artemiev на mail.ru
Сб Янв 23 18:09:22 YEKT 2010


Здравствуйте, коллеги.
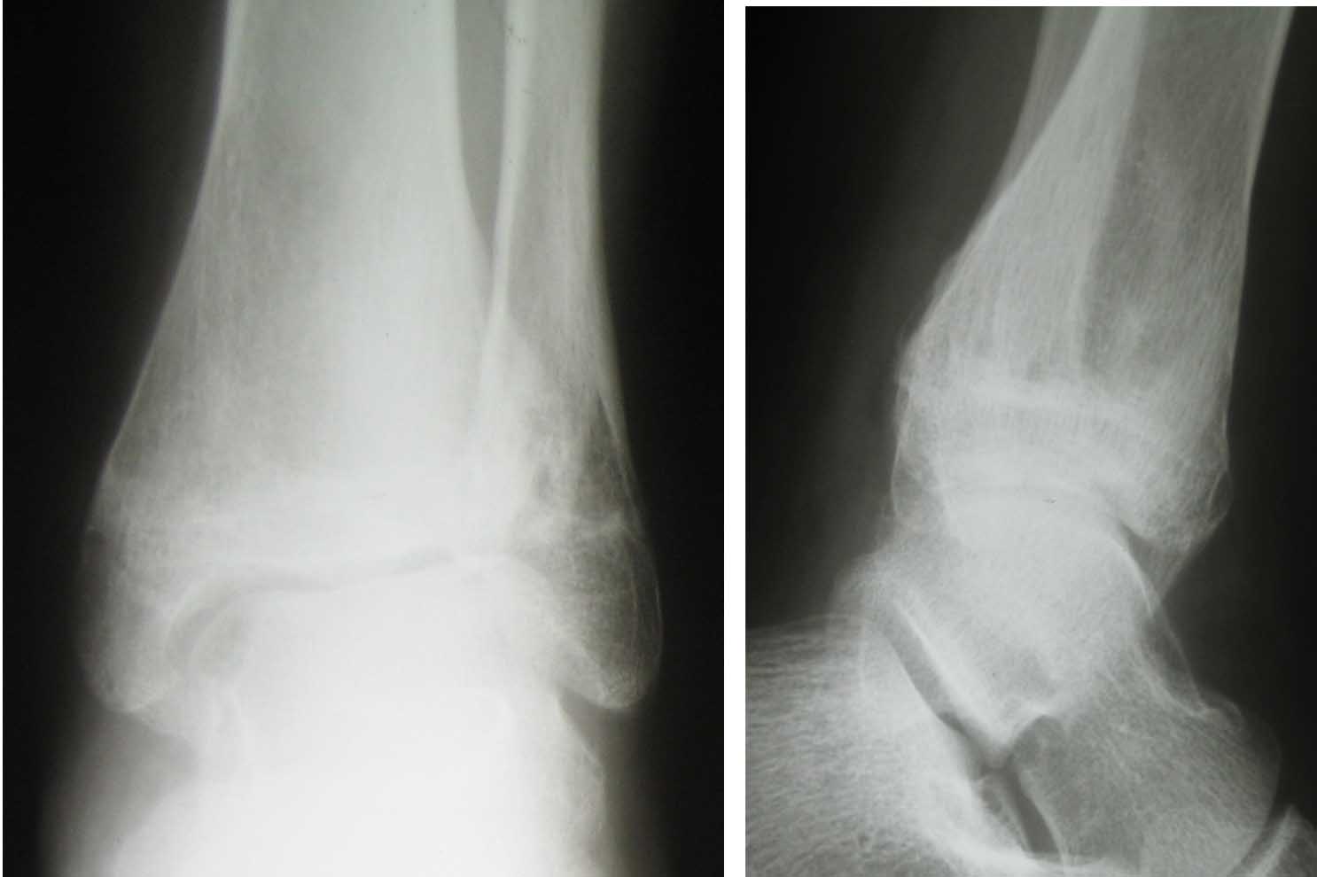
Обратились родители мальчика 15 лет. Сами врачи.
В июле 2009 года - перелом лодыжек. Лечили в гипсе, потом в аппарате.
Лечили спорно, на мой взгляд. В результате - - сращение наружной
лодыжки с укорочением, подвывих голеностопа кнаружи (вальгус) в итоге
компенсаторно передний отдел стопы ставит на варус. Нагрузку
ограничивает.
Ребенка я не видел, со слов родителей.
Снимки в приложении.
Что делать?
С уважением Александр Артемьев
Мытищи
www.nogihelp.ru


С уважением,
 Artemiev                          mailto:alex_artemiev на mail.ru
----------- следущая часть -----------
Вложение не в текстовом формате было извлечено…
Имя     : июль 2009.jpg
Тип     : image/jpeg
Размер  : 87868 байтов
Описание: отсутствует
Url     : http://weborto.net:8080/pipermail/ortho/attachments/20100123/d8a7ad29/attachment-0003.jpg 
----------- следущая часть -----------
Вложение не в текстовом формате было извлечено…
Имя     : октябрь 2009.jpg
Тип     : image/jpeg
Размер  : 75003 байтов
Описание: отсутствует
Url     : http://weborto.net:8080/pipermail/ortho/attachments/20100123/d8a7ad29/attachment-0004.jpg 
----------- следущая часть -----------
Вложение не в текстовом формате было извлечено…
Имя     : январь 2010.jpg
Тип     : image/jpeg
Размер  : 65758 байтов
Описание: отсутствует
Url     : http://weborto.net:8080/pipermail/ortho/attachments/20100123/d8a7ad29/attachment-0005.jpg 


Подробная информация о списке рассылки Ortho