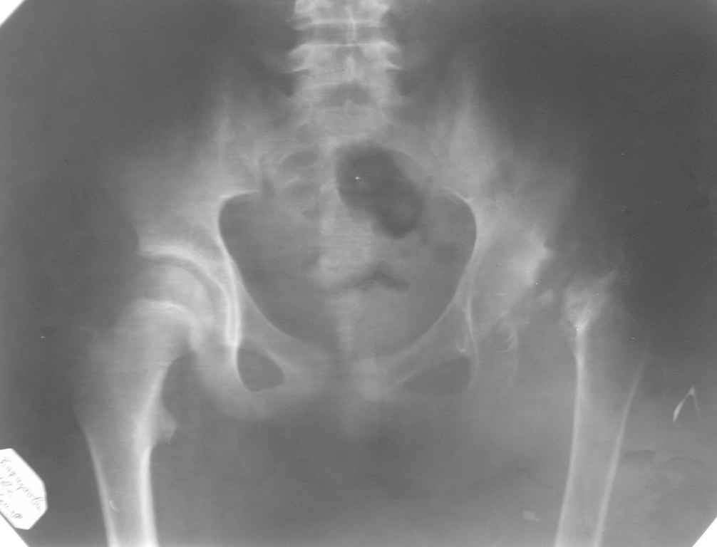
[Ortho] ассептический некроз головки левой бедренной кости

гуфрон orthoforum на weborto.net
Вс Янв 24 21:12:03 YEKT 2010


Снимок во вложении по поводу АНГБ
гуфрон
----------- УМЕДХЭБС ЮБУФШ -----------
Вложение не в текстовом формате было извлечено…
Имя     : PICT0142.JPG
Тип     : image/jpeg
Размер  : 39659 байтов
Описание: отсутствует
Url     : http://weborto.net:8080/pipermail/ortho/attachments/20100124/07c3953d/attachment.jpe 


Подробная информация о списке рассылки Ortho