[Ortho] Сложный перелом плечевой кости

Евгений orthoforum на weborto.net
Вт Янв 26 22:25:06 YEKT 2010


Здравствуйте, Уважаемые Коллеги!!! Пожалуйста,подскажите советом....,
если не трудно, как бы вы поступили в представленном случае...
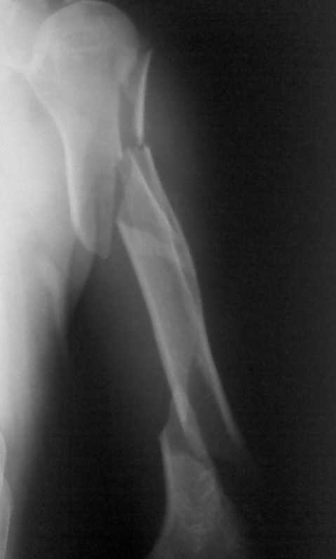
Мужчина 54 лет поступил в отделение в послепразднечные дни с вот
таким сложным и редким переломом плечевой кости (см. рентгенограммы).
Перелом получен во время эпиприпадка. Мы понимаем, что методом выбора
в данном случае является БИОС, однако в нашем лечебном учереждении
это исключено по разным причинам: во-первых, нет ЭОПА, а во-вторых,
администрация категорически против покупки фиксаторов больными
(вплоть до увольнения)- в таких условиях приходится "работать". В
нашем распоряжении есть обычные пластины, штифты Кюнчера, титановые
штифты (заготовки), аппараты Илизарова. Пока больше склоняемся к
выполнению остеосинтеза двумя пластинами: первая передне-наружным
доступом сверху, а вторая задним доступом снизу... Как вы смотрите на
этот вариант остеосинтеза, какие есть альтернативы исходя из наших
условий??? Подскажите....!!! Ваши коментарии мы внимательно изучим и
на основании их примем окончательное решение! Заранее СПАСИБО!!!
Евгений


----------- УМЕДХЭБС ЮБУФШ -----------
Вложение не в текстовом формате было извлечено…
Имя     : Фото008.jpg
Тип     : image/jpeg
Размер  : 14575 байтов
Описание: отсутствует
Url     : http://weborto.net:8080/pipermail/ortho/attachments/20100126/0673a10b/attachment-0001.jpg 


Подробная информация о списке рассылки Ortho