[Ortho] перелом бедра во время закрытого

Павел orthoforum на weborto.net
Вт Янв 26 23:13:59 YEKT 2010


Доброго времени суток, уважаемые коллеги.
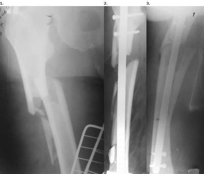
Пациент 56 лет поступил в отделение 28.12.09 со свежим переломом в/3 правого бедра. 15.01.10 произведен закрытый БИОС гвоздем Sanatmetal (d13мм), во время которого произошло раскалывание проксимального и дистального отломков. ЭОПа в больнице нет, для определения локализации направителя ползовались стареньким "Арманом". После заведения гвоздя по проводнику снимки на столе больше не делали, дистальное блокирование оч.быстро с использованием электромагнитной навигации. В послеоперационном периоде выраженные боли и отек. На контрольных рентгенограммах вот такая картина. После посмотрели за экраном - гвоздь стоит стабильно как в проксимальном, так и в дистальном отломке,но контакта между проксимальным и дистальным нет. Вопросы:
1. Что делать дальше? (По возможности бюджетно, поскольку пациент уже здорово потратился на гвоздь)
2. В какие сроки (если делать)?
3. Какие рекомендации по двигательному режиму?
Павел
----------- УМЕДХЭБС ЮБУФШ -----------
Вложение не в текстовом формате было извлечено…
Имя     : 2010-01-26_184246.jpg
Тип     : image/jpeg
Размер  : 15535 байтов
Описание: отсутствует
Url     : http://weborto.net:8080/pipermail/ortho/attachments/20100126/cf48fc46/attachment-0001.jpg 


Подробная информация о списке рассылки Ortho