[Ortho] Контрактура плечевого сустава после шва ротаторов

Бережной Сергей. orthoforum на weborto.net
Ср Янв 27 09:44:17 YEKT 2010


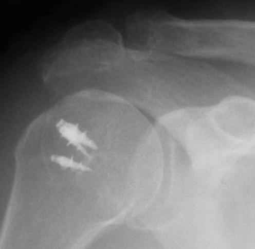
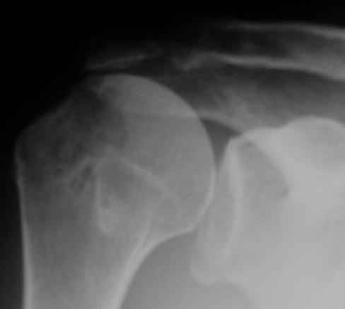
Верхний подвывих в такой ситуации может быть проявлением ротаторной артропатии, как следствия более массивного, чем частичный разрыв сухожилия надостной мыщцы, повреждения  вращательной манжеты. И значит нужно думать о том, насколько полно восстановлена манжета, адекватно ли был расценен объем ее повреждения. Что за шов применялся? Якорных винтов не видно. И почему гипсовая иммобилизация? Есть прекрасные надувные отводящие подушки, позволяющие ранние движения.
В качестве примера - снимки до и после восстановления целостности вращательной манжеты  после 3-хмесячной давности полного разрыва. Видно, что верхний подвывих устранен.
Бережной Сергей.

----------- УМЕДХЭБС ЮБУФШ -----------
Вложение не в текстовом формате было извлечено…
Имя     : image002.jpg
Тип     : image/jpeg
Размер  : 4662 байтов
Описание: отсутствует
Url     : http://weborto.net:8080/pipermail/ortho/attachments/20100127/516179e7/attachment.jpg 
----------- УМЕДХЭБС ЮБУФШ -----------
Вложение не в текстовом формате было извлечено…
Имя     : image001.jpg
Тип     : image/jpeg
Размер  : 3808 байтов
Описание: отсутствует
Url     : http://weborto.net:8080/pipermail/ortho/attachments/20100127/516179e7/attachment-0001.jpg 


Подробная информация о списке рассылки Ortho