[Ortho] Продолжение случая про таз 9-ти месячной давности

Миронов Андрей orthoforum на weborto.net
Пт Янв 29 23:56:15 YEKT 2010


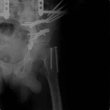
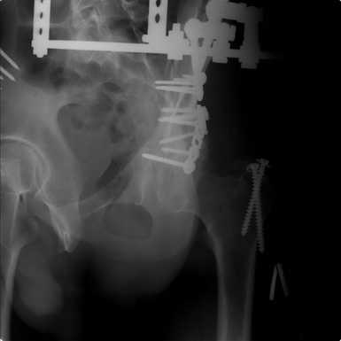
Добрый вечер уважаемые коллеги. Прошу прощение за долгое молчание( компьютер был в
долгосрочном ремонте). Больного с 9-ти месячной травмой таза мы прооперировали.

Оценив свои возможности и совместив с вашими рекомендациями и советами( большое спасибо
Рункову!), пошли задне-наружным доступом, с отсечением большого вертела. Закрепились
2-мя пластинками. Сверху закрепили аппаратом( передней рамой). На область перелома самого
гребня повздошной кости не вмешивались. Снимки высылаю. Жду ваших отзывов и комментариев.
Всем большое спасибо за активное участие в лечении больного. С ув.Андрей
----------- УМЕДХЭБС ЮБУФШ -----------
Вложение не в текстовом формате было извлечено…
Имя     : image001.jpg
Тип     : image/jpeg
Размер  : 5461 байтов
Описание: отсутствует
Url     : http://weborto.net:8080/pipermail/ortho/attachments/20100129/863faf43/attachment-0003.jpg 
----------- УМЕДХЭБС ЮБУФШ -----------
Вложение не в текстовом формате было извлечено…
Имя     : image002.jpg
Тип     : image/jpeg
Размер  : 6618 байтов
Описание: отсутствует
Url     : http://weborto.net:8080/pipermail/ortho/attachments/20100129/863faf43/attachment-0004.jpg 
----------- УМЕДХЭБС ЮБУФШ -----------
Вложение не в текстовом формате было извлечено…
Имя     : image003.jpg
Тип     : image/jpeg
Размер  : 4702 байтов
Описание: отсутствует
Url     : http://weborto.net:8080/pipermail/ortho/attachments/20100129/863faf43/attachment-0005.jpg 


Подробная информация о списке рассылки Ortho