[Ortho] Перелом плеча

Alexander Chelnokov alex на weborto.net
Чт Июл 1 02:31:30 YEKST 2010


Dear Кирилл.

You wrote 1 июля 2010 г., 0:55:25:

К> Уважаемые коллеги! Всем огромное спасибо! Рентгенограммы плечевого
К> сустава делал, головка цела. сам склоняюсь к штифту, спасибо за
К> идею серкляжа, раньше так не делал. Кирилл

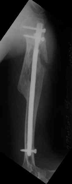
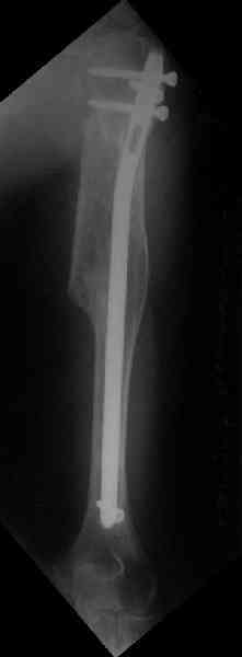
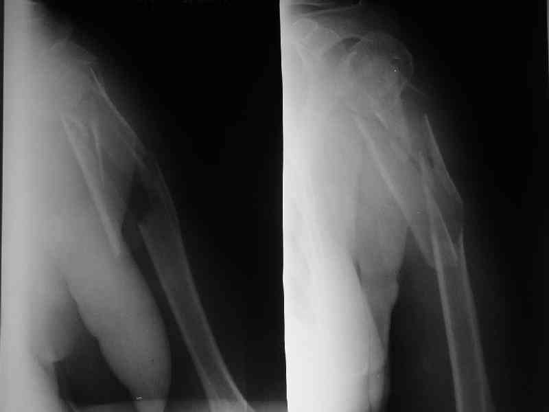
Здесь нет необходимости в серкляже. Вмешиваться на промежуточных
отломках приходится, если есть угроза перфорации кожи, или
промежуточный отломок попал в фасцию, как пуговица в петлю. В
приложении сегментарный оскольчатый перелом плеча в проксимальном
отделе, фиксированный больщеберцовым стержнем. Как видите, обошлось
без серкляжа. Функция полная.     


-- 
Best regards,
Alexander N. Chelnokov
Ural Scientific Research Institute
of Traumatology and Orthopaedics
7, Bankovsky str. Ekaterinburg 620014 Russia 
-------------- next part --------------
A non-text attachment was scrubbed...
Name: get_image1.jpg
Type: image/jpeg
Size: 9280 bytes
Desc: not available
Url : http://weborto.net:8080/pipermail/ortho/attachments/20100701/dc2a4f74/attachment-0005.jpg 
-------------- next part --------------
A non-text attachment was scrubbed...
Name: get_image2.jpg
Type: image/jpeg
Size: 3058 bytes
Desc: not available
Url : http://weborto.net:8080/pipermail/ortho/attachments/20100701/dc2a4f74/attachment-0006.jpg 
-------------- next part --------------
A non-text attachment was scrubbed...
Name: get_image3.jpg
Type: image/jpeg
Size: 4128 bytes
Desc: not available
Url : http://weborto.net:8080/pipermail/ortho/attachments/20100701/dc2a4f74/attachment-0007.jpg 
-------------- next part --------------
A non-text attachment was scrubbed...
Name: get_image4.jpg
Type: image/jpeg
Size: 3137 bytes
Desc: not available
Url : http://weborto.net:8080/pipermail/ortho/attachments/20100701/dc2a4f74/attachment-0008.jpg 
-------------- next part --------------
A non-text attachment was scrubbed...
Name: get_image5.jpg
Type: image/jpeg
Size: 3993 bytes
Desc: not available
Url : http://weborto.net:8080/pipermail/ortho/attachments/20100701/dc2a4f74/attachment-0009.jpg 


Подробная информация о списке рассылки Ortho