[Ortho] Перелом плеча

Djoldas Kuldjanov orthoforum на weborto.net
Ср Июл 7 15:47:23 YEKST 2010


Всегда интересно участие в дисскуссии, когда лечащие врачи активно участвуют и координируют обсуждение. Своевременно представленные материалы о возрасте больного, обстоятельства травмы, сопутствующие, изолированность и описание клинической картины со всеми снимками помогает принять правильное решение.

В 80% больных с изолированным переломом плеча можно лечить консервативным путем. При свежих переломах положение отломков непостоянно, и поэтому при консервативном лечении необходимо своевременно делать контрольные снимки.

В зависимости от характера травмы, например, при  политравме, возрастает важность первичной фиксации, потому что, создавая опороспособность верхней конечности (для костылей), мы помогаем общему восстановлению.

Прошло с момента травмы более 2х недель, и если еще не сделали фиксацию то нужно повторить рентгенограмму, возможно, положение отломков изменилось к лучшему.

При владении техникой, интрамедуллярная методика отличная фиксация для переломов плеча, но при смещении между отломками более 5 см не всем удастся повторить успех Челнокова. Неумелой закрытой манипуляцией можно нанести больше вреда, и есть опасность повреждение нерва серкляжом!

Первичные повреждении нерва расширяют показания к открытой фиксации, такая тактика позволяет провести тщательную инспекцию состояния поврежденного нерва.

Снимок с имплантом из металла с памятью формы получился "sexy", но нарушены все каноны остеосинтеза. Потому что при комбинации двух ущербных систем одновременно повреждается внутри канальное и наружное кровообращение.

Имплантаты с памятью формы –интересное изобретение, фантастический металл, мечта всех шпионов, и первично опубликованные сообщения интриговали всех. Но на сегодня, когда имеется инертный металл, и при развитии "мини инвазивной" техники, не видно нужды в импланте с памятью формы.

 

Кстати, некоторые образцы, полученные через коллег, мы испытали у себя, метал не вызывает доверия, отсутствует эстетичность, not friendly, и металл оставляет черное пятно на поверхности. Насчет удержания формы в постоянной компрессии, она потерялась через 30 минут, и на поверхности цилиндра беспрепятственно конструкция двигалась, как обычная намотанная проволока.

 

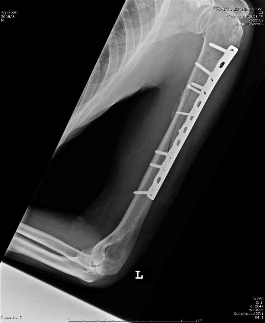
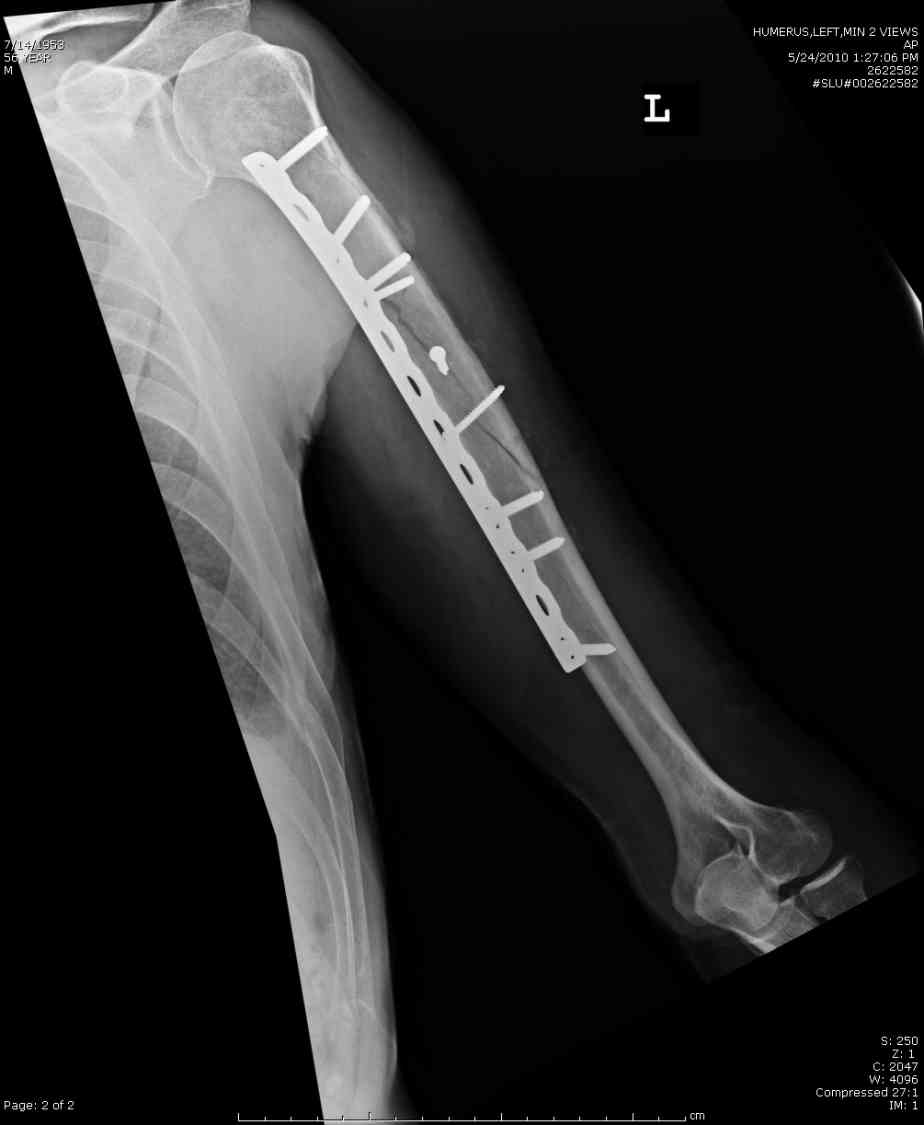
Кроме интрамедуллярного остеосинтеза, имеются другие варианты фиксации, наружный фиксатор и например здесь перелом плеча с повреждением нерва леченный открытым методом. Применен задний доступ с инспекцией нерва, межфрагментарная компрессия, фиксация узкой пластиной 4.5 мм.

 

 Djoldas Kuldjanov, MD
Department of Orthopedic Surgery
St. Louis University Medical Center
----------- УМЕДХЭБС ЮБУФШ -----------
Вложение не в текстовом формате было извлечено…
Имя     : humerus 2.jpg
Тип     : image/jpeg
Размер  : 27770 байтов
Описание: отсутствует
Url     : http://weborto.net:8080/pipermail/ortho/attachments/20100707/148b8c07/attachment-0003.jpg 
----------- УМЕДХЭБС ЮБУФШ -----------
Вложение не в текстовом формате было извлечено…
Имя     : humerus 3.jpg
Тип     : image/jpeg
Размер  : 25813 байтов
Описание: отсутствует
Url     : http://weborto.net:8080/pipermail/ortho/attachments/20100707/148b8c07/attachment-0004.jpg 
----------- УМЕДХЭБС ЮБУФШ -----------
Вложение не в текстовом формате было извлечено…
Имя     : humerus 4.jpg
Тип     : image/jpeg
Размер  : 14176 байтов
Описание: отсутствует
Url     : http://weborto.net:8080/pipermail/ortho/attachments/20100707/148b8c07/attachment-0005.jpg 


Подробная информация о списке рассылки Ortho