[Ortho] ГКО 2-й пятной кости

Максим orthoforum на weborto.net
Пн Июл 26 17:06:29 YEKST 2010


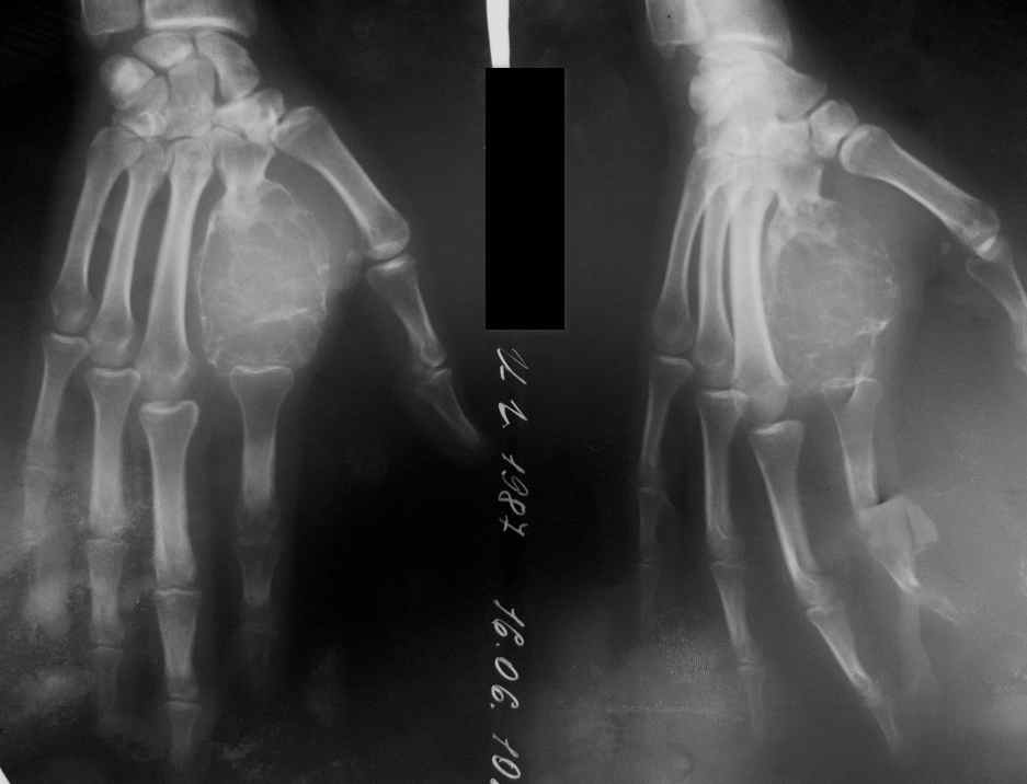
Доброго времени суток уважаемые коллеги. К нам обратилась пациентка 23 лет. Вполнена
открытая биопсия. По результатам биопсии выставлен диагноз: Гигантоклеточная опухоль 2-й
пястной кости левой. В настояее время поступила для радикального лечения. Планируем
выполненить резекцию опухоли. Вопрос в материала для замещения деффекта. Есть мысль
выполнить ауцтопластику трансплантатом из малоберцовой кости. Каковы будут мнения по
этому поводу? Заранее большое спасибо за советы.


Максим
----------- УМЕДХЭБС ЮБУФШ -----------
Вложение не в текстовом формате было извлечено…
Имя     : P1030020.JPG
Тип     : image/jpeg
Размер  : 28546 байтов
Описание: отсутствует
Url     : http://weborto.net:8080/pipermail/ortho/attachments/20100726/99e4bef4/attachment-0001.jpeg 


Подробная информация о списке рассылки Ortho