[Ortho] Ложный сустав таза

Жорж Эл Хашем orthoforum на weborto.net
Вт Июл 27 03:42:54 YEKST 2010


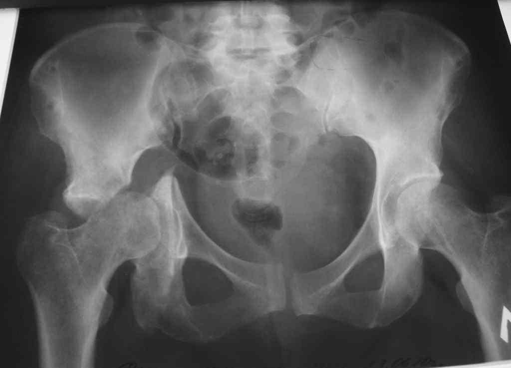
Доброе время суток уважаемые коллеги. На обсуждение выносится пациентка 42 лет. Травма 7
месяцев назад - ДТП. В одной из районных больниц выполнена фиксация таза и бедра в аппарате.
Через 4 мес. аппарат демонтирован. На контрольных рентгенограммах через 3 недели после
демонтажа аппарата выяснилась данная рентгенкартина и пациентка направлена к нам в клинику
с диагнозом ложный сустав дна вертлужной впадины.

При визуальном осмотре пациентка находится на постельном режиме с
момента травмы. Не активизирована. Мнения о тактике лечения в
отделении разошлись.То ли выполнить (насколько это возможно в такие сроки) 
открытую репозицию с костной аутопластикой и экстракортикальным
остеоситнезом, то ли идти на первичное эндопротезирование ТБС с
пластикой дна вертлужной впадины. 


Жорж Эл Хашем
----------- УМЕДХЭБС ЮБУФШ -----------
Вложение не в текстовом формате было извлечено…
Имя     : P1040140.JPG
Тип     : image/jpeg
Размер  : 25270 байтов
Описание: отсутствует
Url     : http://weborto.net:8080/pipermail/ortho/attachments/20100726/bf22efe2/attachment-0001.jpeg 


Подробная информация о списке рассылки Ortho