[Ortho] Ложный сустав

Alexander Chelnokov alex на weborto.net
Ср Июл 28 00:25:27 YEKST 2010


Dear VlaD.

You wrote 25 июля 2010 г., 23:06:35:

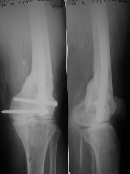
V> С моей точки зрения, адекватная фиксация любой металлоконструкции в
V> дистальном отломке бедренной кости невозможна. Поэтому вариантов
V> вмешательства два: либо ВКДО с фиксацией голени (что, учитывая

Аппарат для восстановления оси и длины тут действительно вполне
уместен. И голень целесообазно врменно зафиксировать. А заштифтовать
можно и без голени, оставляя шансы на ту или другую мобилизацию
коленного сустава. 
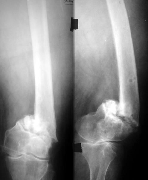
Пример подобного ложного сустава в приложении.
На сегодня есть имплантаты с куда более продвинутой дистальной фиксацией.

-- 
Best regards,
Alexander N. Chelnokov
Ural Scientific Research Institute
of Traumatology and Orthopaedics
7, Bankovsky str. Ekaterinburg 620014 Russia 
-------------- next part --------------
A non-text attachment was scrubbed...
Name: get_image1.jpg
Type: image/jpeg
Size: 23120 bytes
Desc: not available
Url : http://weborto.net:8080/pipermail/ortho/attachments/20100727/110f69b8/attachment-0004.jpg 
-------------- next part --------------
A non-text attachment was scrubbed...
Name: get_image2.jpg
Type: image/jpeg
Size: 29766 bytes
Desc: not available
Url : http://weborto.net:8080/pipermail/ortho/attachments/20100727/110f69b8/attachment-0005.jpg 
-------------- next part --------------
A non-text attachment was scrubbed...
Name: get_image3.jpg
Type: image/jpeg
Size: 23569 bytes
Desc: not available
Url : http://weborto.net:8080/pipermail/ortho/attachments/20100727/110f69b8/attachment-0006.jpg 
-------------- next part --------------
A non-text attachment was scrubbed...
Name: get_image4.jpg
Type: image/jpeg
Size: 18588 bytes
Desc: not available
Url : http://weborto.net:8080/pipermail/ortho/attachments/20100727/110f69b8/attachment-0007.jpg 


Подробная информация о списке рассылки Ortho