[Ortho] Эндопротезирование при гетеротопической оссификсации

Виноградский Александр orthoforum на weborto.net
Чт Июл 29 19:51:04 YEKST 2010


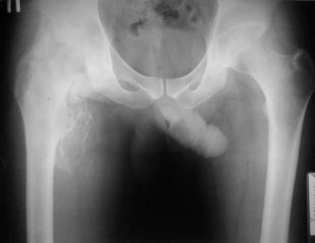
Уважаемые коллеги, здравствуйте! Пациент 1987 года рождения, сочетанная травма (ЗЧМТ,
перелом костей голени) в январе 2010 года.

Около месяца на ИВЛ, В настоящее время неврологически компенсирован, ходит с ходунками,
адекватен. Основная жалоба - отсутствие движений в тазробедренном суставе. Клинически
наружная ротация 30 гр. умеренная мышечная атрофия, движения качательные.
Рентгенологически-выраженные гетеротопические оссификаты в области правого
тазобедренного сустава. Помогите определитсья с тактикой:Эндопротезирование? Сроки?
Особенности. Заранее спасибо
Виноградский Александр
----------- УМЕДХЭБС ЮБУФШ -----------
Вложение не в текстовом формате было извлечено…
Имя     : IMG_7090.jpg
Тип     : image/jpeg
Размер  : 17032 байтов
Описание: отсутствует
Url     : http://weborto.net:8080/pipermail/ortho/attachments/20100729/ff696144/attachment-0001.jpg 


Подробная информация о списке рассылки Ortho