[Ortho] Неправильно консолидирующийся перелом бедра

Пименов Владимир orthoforum на weborto.net
Чт Июн 10 22:36:53 YEKST 2010


Уважаемые коллеги! Прошу помощи по приведенному случаю.

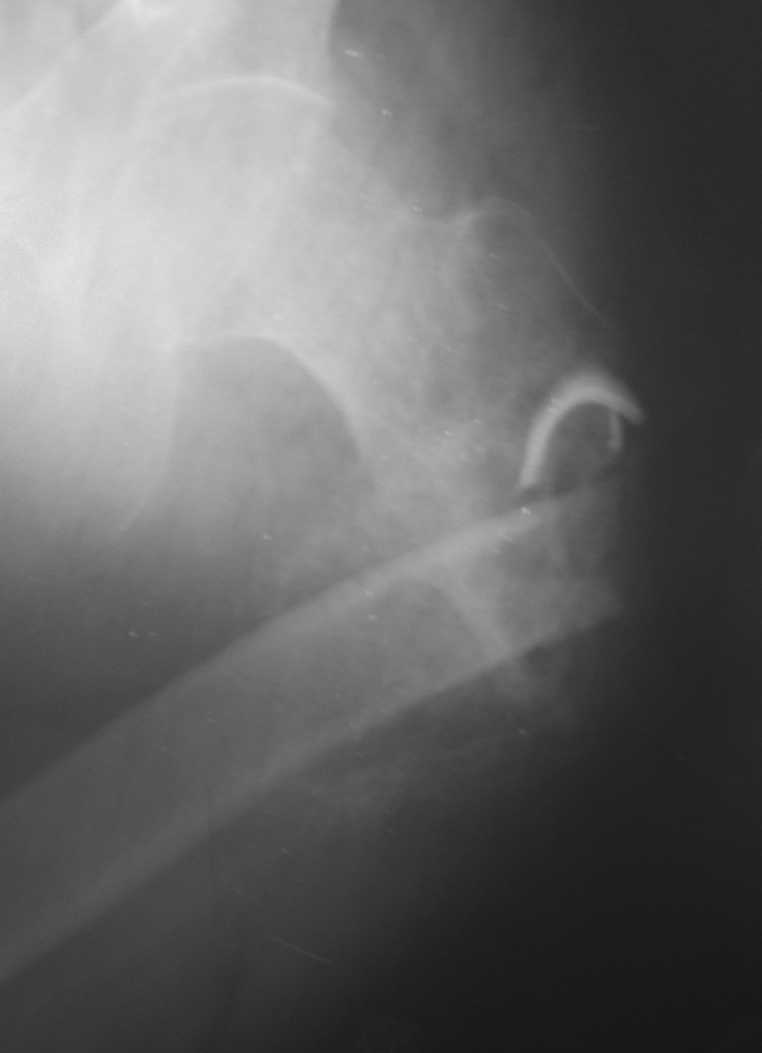
Пациент 34 лет бомж получил травму окло 1,5-2 мес назад. За мед помощью не обращался. При
поступлении левая нижняя конечность резко ротирована кнутри, варусная деформация бедра.
По наружной поверхности рана 2 на 2 см с незначительным серозно гнойным
отделяемым,умеренными грануляциями, в ране дистальный отломок бедреной кости.
Патологическая подвижность в области перелома назначительная. Проведена попытка репозии
дистракционным аппаратом, с незначительным эффектом (несколько уменьшилась внутренняя
ротация.Что делать дальше? Остеотомия? Санация гнойного очага
Пименов Владимир
----------- УМЕДХЭБС ЮБУФШ -----------
Вложение не в текстовом формате было извлечено…
Имя     : Изображение 024!.jpg
Тип     : image/jpeg
Размер  : 18413 байтов
Описание: отсутствует
Url     : http://weborto.net:8080/pipermail/ortho/attachments/20100611/1107d09f/attachment-0001.jpg 


Подробная информация о списке рассылки Ortho