[Ortho] помощь после артроскопии

Королев Максим orthoforum на weborto.net
Пт Июн 18 22:27:28 YEKST 2010


Уважаемые коллеги нужен совет по тактике ведения пациента после артроскопии коленного
сустава

 Нужен совет, а точнее ответ на вопрос - нужна повторная операция или
нет? Пациент 37 лет? активный образ жизни мотоцикл, лыжи и остальной
набор развлечений. В марте 2010 оперирован-артроскопия левого коленного 
сустава, субтотальная резекция менисков? удаление 3-х свободно лежащих
хондромных тела, тунелизация мыщелков бедренной кости.
Артроскопическая картина гонартроза 3 ст.

С марта по июнь 9 раз пунктировался сустав эвакуировалась по 80-100
мл. светло-желтой синовиальной жидкости без хлопьев и примесей. Посевы
отр. Анализы на инфекцию (хламидии и т.д.) дважды отр. Ревматолог-не
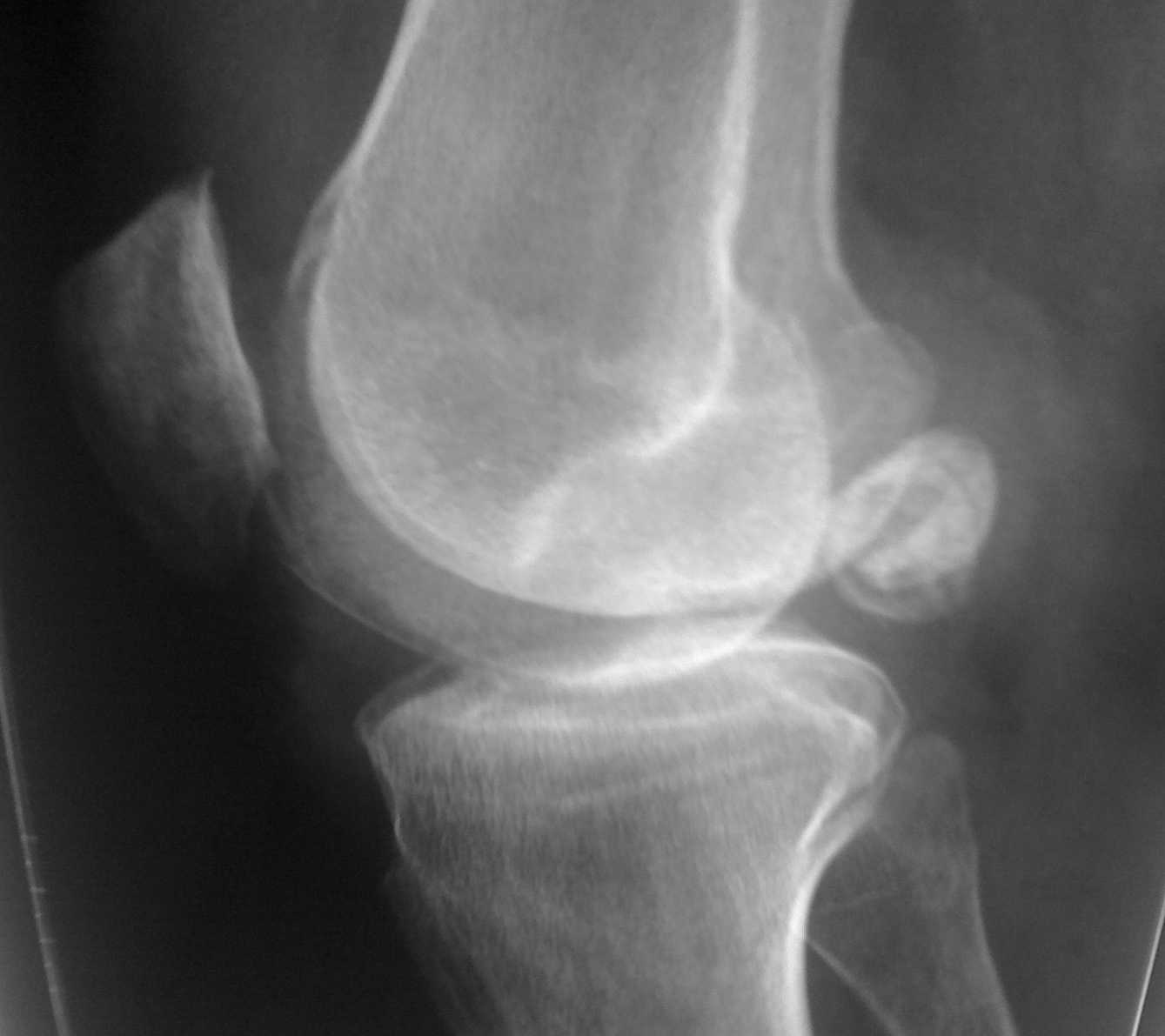
их патология. В общих анализах без отклонений. В приложенном
рентгене-тела в задних отделах как до, так и после операции. Во время
операции-прицельно их искали, но они вне полости сустава, что
подтверждает МРТ. На контрольных ренгенограммах -смещение тел ни на
миллиметр. Зеркальное отображение предыдущих. Болевого синдрома нет. 

Единственная жалоба пациента на наличие выпота в суставе. Температурной реакции нет.
Сустав визуально не изменен. не "горяч". Тела в задних отделах не пальпируються. Дважды
параартикулярно вводил дипроспан с интервалом в 4 недели. НВПС. Иммобилизация тутором,
ударная "шокирующая" доза антибиотика-все по нулям. Дайте совет не ужели синовит
поддерживаеться хондромными телами или что то другое. Пациент на повторную операцию 50 на
50. Спасибо! Всех с наступающим профессиональным праздником!!!
Королев Максим
----------- УМЕДХЭБС ЮБУФШ -----------
Вложение не в текстовом формате было извлечено…
Имя     : IMG_0898.JPG
Тип     : image/jpeg
Размер  : 43521 байтов
Описание: отсутствует
Url     : http://weborto.net:8080/pipermail/ortho/attachments/20100618/68208b95/attachment-0001.jpeg 


Подробная информация о списке рассылки Ortho