[Ortho] Перелом плеча

Кирилл orthoforum на weborto.net
Вт Июн 29 01:42:22 YEKST 2010


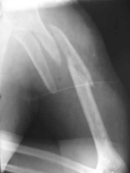
Глубокоуважаемые коллеги! Помогите, пожалуйста, определиться с тактикой лечения и оптимальным фиксатором

Травма 20.06, ранее оперативное лечение было невозможно(психоз), перелом закрытый, неосложнённый, обширная гематома.Заранее благодарен.Кирилл
Кирилл
----------- следущая часть -----------
Вложение не в текстовом формате было извлечено…
Имя     : 2.JPG
Тип     : image/jpeg
Размер  : 34430 байтов
Описание: отсутствует
Url     : http://weborto.net:8080/pipermail/ortho/attachments/20100629/6eba6a17/attachment-0001.jpeg 


Подробная информация о списке рассылки Ortho