[Ortho] Удаление штифта из бедра.

Ростислав orthoforum на weborto.net
Ср Мар 3 07:44:16 YEKT 2010


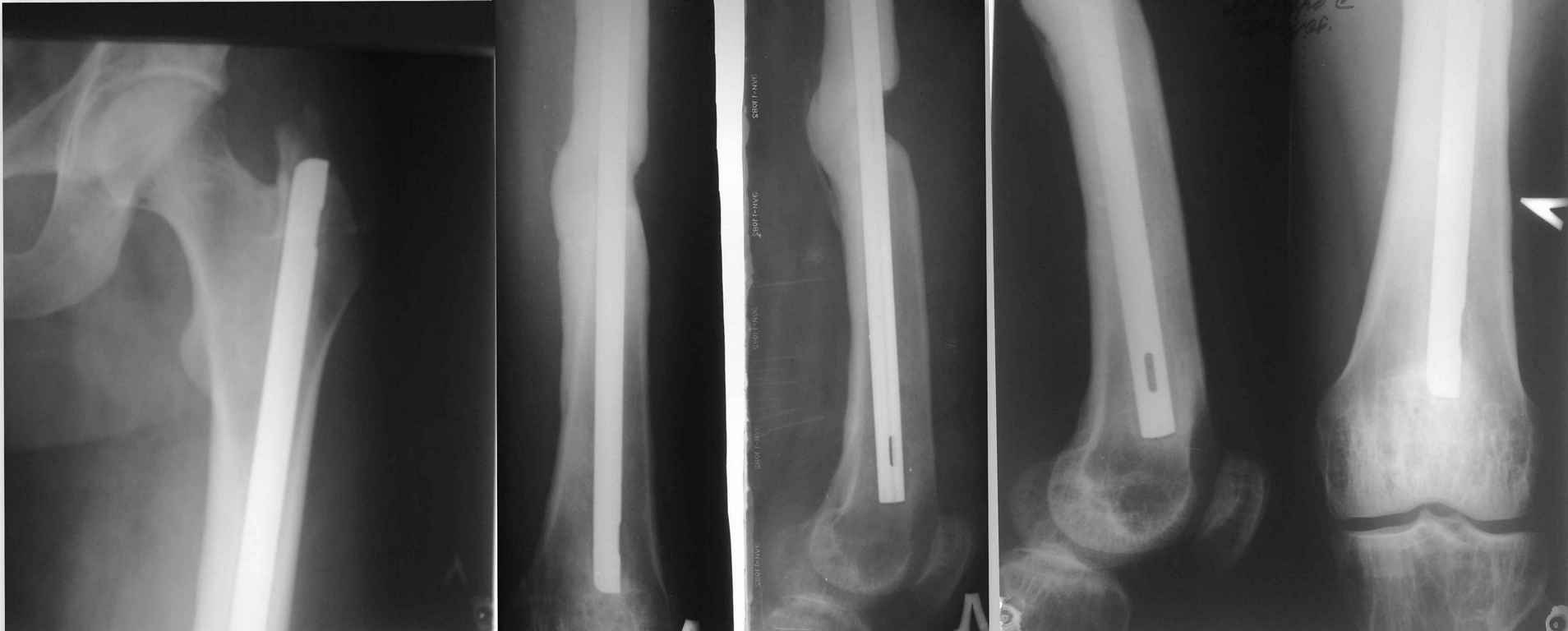
Здравствуйте Уважаемые коллеги! Просим совета. Есть больной 35 лет. Который получил
сочетанную травму в результате ДТП более 2х лет назад. Оперирован на бедре МОС бедра штифтом,
на голени накостной пластиной, которая через 2-3 мес. осложнилась развитием остеомиелита,
попал затем к нам. Мы удалили пластину с Б/б кости и фиксировали в ВЧКО. Длительно лечился у нас
с остеомиелитом б/б кости левой голени и по месту жительства, в общем, с голенью вроде всё в
порядке на данный момент свищей нет. Бедро, сделанное в местной больнице ранее, тоже не
беспокоило, но теперь начало, по снимкам бедра, сделанным ранее около года назад отмечается
миграция стержня в бедре до 1.5 см. и появился на снимке дефект кости в области перелома. Ранее
его не было. Кожных трофических нарушений нет. Металл не пальпируется. Больной настаивает
на удаление металла. Как быть с учётом дефекта кости: удалять полностью штифт, с костной
аутопластикой? БИОС?
Ростислав
----------- УМЕДХЭБС ЮБУФШ -----------
Вложение не в текстовом формате было извлечено…
Имя     : 1.jpg
Тип     : image/jpeg
Размер  : 39354 байтов
Описание: отсутствует
Url     : http://weborto.net:8080/pipermail/ortho/attachments/20100303/713ed2d8/attachment-0001.jpg 


Подробная информация о списке рассылки Ortho