[Ortho] Эндопротезирование головки лучевой кости

Шведовченко Игорь Владимирович orthoforum на weborto.net
Ср Мар 3 17:34:14 YEKT 2010


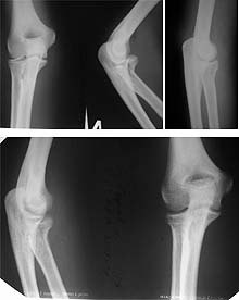
Уважаемые коллеги. Индивидуальное решение проблемы-однозначно. Как ни страноо, хорошие результаты дает закрытая репозиция по методу Свинухова. Найти технологию можно у детских травматологов. Ждя взрослого сама методика выглядит немного дикой, но попробуйте-не пожалеете!
В качестве примера, 4 дня после травамы, в стационарах города обсуждается вопрос-ничего не денлать, удалить, эндопротезирование. Закрытая репозиция, результат через 6 недель.

Шведовченко Игорь Владимирович

----------- УМЕДХЭБС ЮБУФШ -----------
Вложение не в текстовом формате было извлечено…
Имя     : 1.jpg
Тип     : image/jpeg
Размер  : 22516 байтов
Описание: отсутствует
Url     : http://weborto.net:8080/pipermail/ortho/attachments/20100303/fa7dd70d/attachment-0001.jpg 


Подробная информация о списке рассылки Ortho