[Ortho] Боль в нижней трети голени

Игорь Зинчук orthoforum на weborto.net
Пт Мар 5 20:44:50 YEKT 2010


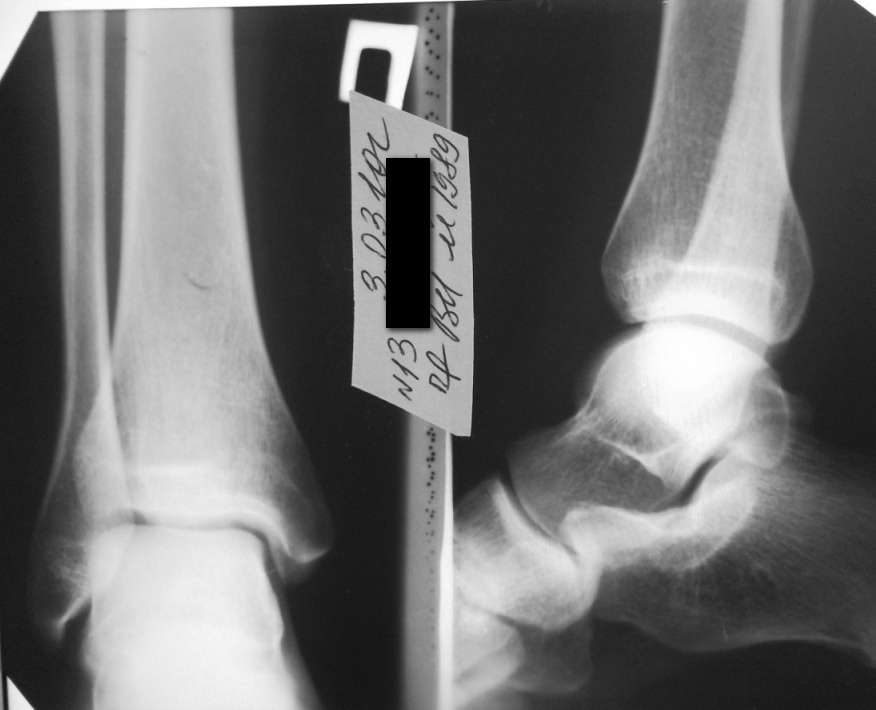
Здравствуйте уважаемые коллеги! Больной 1989 г.р. Беспокоит боль в
области нижней трети правой голени с медиальной стороны, при ходьбе и
пальпации надкостницы большеберцовой кости, по переднемедиальной
поверхности от лодыжки до граници нижней и средней трети.
Болен в течении недели, начало постепенное, без видимых причин.
Травму отрицает. Визуально никаких изменений нет ни в объеме
конечности, ни во внешнем виде кожных покровов. Боль только при
нагрузке, в покое и ночью не болит. Заранее благодарю за высказанные
мнения по поводу диагноза. Снимки прилагаю. 
----------- УМЕДХЭБС ЮБУФШ -----------
Вложение не в текстовом формате было извлечено…
Имя     : ГОЛЕНЬ.jpg
Тип     : image/jpeg
Размер  : 30663 байтов
Описание: отсутствует
Url     : http://weborto.net:8080/pipermail/ortho/attachments/20100305/24f1ed4a/attachment-0001.jpg 


Подробная информация о списке рассылки Ortho