[Ortho] Ошибка при установке Гамме 3

Djoldas Kuldjanov orthoforum на weborto.net
Сб Мар 13 13:05:08 YEKT 2010


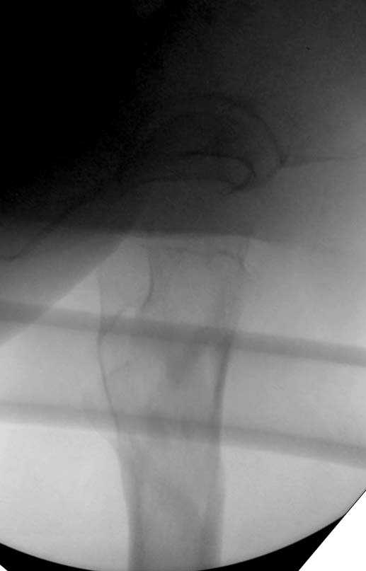
Для лечения переломов проксимального бедра существует различные конструкции, включая цефаломедуллярные. Среди них из-за простоты и удобной конструкции распространенным является Gamma.


Имплант засчет верхней блокировки создает эффект угловой стабильности и применяется не только при скоростных травмах у молодых, а также для лечения переломов пожилого возраста.<br>

 
Здесь представлен случай, где в послеоперационном периоде обнаружена техническая ошибка, Gamma 3 установлен с нарушением методики. Больная в 91 лет, прооперирована через день после поступления и выписана через 48 часов.<br>
 

При первом послеоперационном поликлиническом осмотре больная предъявила жалобы на боли в бедре. В серийных снимках обнаружен продольный перелом верхнего отдела бедра.<br>
 

Считаем, что техническая ошибка произошла во время установки гвоздя, когда рассверливанию канала не уделили должного внимания. Канал остался узковат, и гвоздь был забит с силой.
 

Полная нагрузка конечности приостановлена на две недели, и боли в конечности изчезли. Больная начала нагрузку и перелом срастается.


-- 
Djoldas Kuldjanov, M.D.
Associate Professor
Department of Orthopedic Surgery
St. Louis University
Djoldas Kuldjanov
----------- УМЕДХЭБС ЮБУФШ -----------
Вложение не в текстовом формате было извлечено&hellip;
Имя     : Gamma 3. 1.jpg
Тип     : image/jpeg
Размер  : 32221 байтов
Описание: отсутствует
Url     : http://weborto.net:8080/pipermail/ortho/attachments/20100313/640af550/attachment-0009.jpg 
----------- УМЕДХЭБС ЮБУФШ -----------
Вложение не в текстовом формате было извлечено&hellip;
Имя     : Gamma 3. 3.jpg
Тип     : image/jpeg
Размер  : 28502 байтов
Описание: отсутствует
Url     : http://weborto.net:8080/pipermail/ortho/attachments/20100313/640af550/attachment-0010.jpg 
----------- УМЕДХЭБС ЮБУФШ -----------
Вложение не в текстовом формате было извлечено&hellip;
Имя     : Gamma 3. 4.jpg
Тип     : image/jpeg
Размер  : 21899 байтов
Описание: отсутствует
Url     : http://weborto.net:8080/pipermail/ortho/attachments/20100313/640af550/attachment-0011.jpg 
----------- УМЕДХЭБС ЮБУФШ -----------
Вложение не в текстовом формате было извлечено&hellip;
Имя     : Gamma 3. 6.jpg
Тип     : image/jpeg
Размер  : 27032 байтов
Описание: отсутствует
Url     : http://weborto.net:8080/pipermail/ortho/attachments/20100313/640af550/attachment-0012.jpg 
----------- УМЕДХЭБС ЮБУФШ -----------
Вложение не в текстовом формате было извлечено&hellip;
Имя     : Gamma 3. 7.jpg
Тип     : image/jpeg
Размер  : 28208 байтов
Описание: отсутствует
Url     : http://weborto.net:8080/pipermail/ortho/attachments/20100313/640af550/attachment-0013.jpg 
----------- УМЕДХЭБС ЮБУФШ -----------
Вложение не в текстовом формате было извлечено&hellip;
Имя     : Gamma 3. 8.jpg
Тип     : image/jpeg
Размер  : 36148 байтов
Описание: отсутствует
Url     : http://weborto.net:8080/pipermail/ortho/attachments/20100313/640af550/attachment-0014.jpg 
----------- УМЕДХЭБС ЮБУФШ -----------
Вложение не в текстовом формате было извлечено&hellip;
Имя     : Gamma 3. 9.jpg
Тип     : image/jpeg
Размер  : 16220 байтов
Описание: отсутствует
Url     : http://weborto.net:8080/pipermail/ortho/attachments/20100313/640af550/attachment-0015.jpg 
----------- УМЕДХЭБС ЮБУФШ -----------
Вложение не в текстовом формате было извлечено&hellip;
Имя     : Gamma 3. 10.jpg
Тип     : image/jpeg
Размер  : 48039 байтов
Описание: отсутствует
Url     : http://weborto.net:8080/pipermail/ortho/attachments/20100313/640af550/attachment-0016.jpg 
----------- УМЕДХЭБС ЮБУФШ -----------
Вложение не в текстовом формате было извлечено&hellip;
Имя     : Gamma 3. 11.jpg
Тип     : image/jpeg
Размер  : 41037 байтов
Описание: отсутствует
Url     : http://weborto.net:8080/pipermail/ortho/attachments/20100313/640af550/attachment-0017.jpg 


Подробная информация о списке рассылки Ortho