[Ortho] перелом таза

Женя orthoforum на weborto.net
Ср Мар 31 23:33:13 YEKST 2010


Уважаемые коллеги!
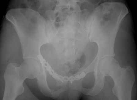
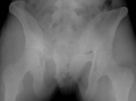
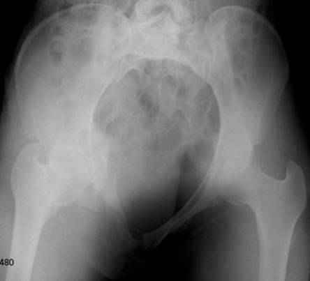
Серия до- и послеоперационных снимков этой пациентки. Хотя бы post factum обсудить. Не знаю, что можно сделать с задними отделами стержневым аппаратом, но три крепких парня открытым путем с помощью "волшебных" слов еле-еле смогли отрепонировать - сзади все было очень ригидно!
Женя
----------- УМЕДХЭБС ЮБУФШ -----------
Вложение не в текстовом формате было извлечено…
Имя     : image002.jpg
Тип     : image/jpeg
Размер  : 5634 байтов
Описание: отсутствует
Url     : http://weborto.net:8080/pipermail/ortho/attachments/20100331/75a1bb71/attachment-0005.jpg 
----------- УМЕДХЭБС ЮБУФШ -----------
Вложение не в текстовом формате было извлечено…
Имя     : image003.jpg
Тип     : image/jpeg
Размер  : 3581 байтов
Описание: отсутствует
Url     : http://weborto.net:8080/pipermail/ortho/attachments/20100331/75a1bb71/attachment-0006.jpg 
----------- УМЕДХЭБС ЮБУФШ -----------
Вложение не в текстовом формате было извлечено…
Имя     : image004.jpg
Тип     : image/jpeg
Размер  : 4097 байтов
Описание: отсутствует
Url     : http://weborto.net:8080/pipermail/ortho/attachments/20100331/75a1bb71/attachment-0007.jpg 
----------- УМЕДХЭБС ЮБУФШ -----------
Вложение не в текстовом формате было извлечено…
Имя     : image005.jpg
Тип     : image/jpeg
Размер  : 3913 байтов
Описание: отсутствует
Url     : http://weborto.net:8080/pipermail/ortho/attachments/20100331/75a1bb71/attachment-0008.jpg 
----------- УМЕДХЭБС ЮБУФШ -----------
Вложение не в текстовом формате было извлечено…
Имя     : image006.jpg
Тип     : image/jpeg
Размер  : 4258 байтов
Описание: отсутствует
Url     : http://weborto.net:8080/pipermail/ortho/attachments/20100331/75a1bb71/attachment-0009.jpg 


Подробная информация о списке рассылки Ortho