[Ortho] Голеностопный артродез vs остеосинтез

Алексей Минервин miner_m на mail.ru
Сб Май 1 01:35:57 YEKST 2010


Уважаемые коллеги!
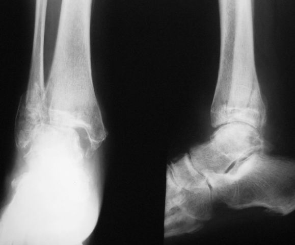
На прием обратилась женщина 50 лет с неправильно сросшимся переломом наружной лодыжки и наружным подвывихом стопы. 
Травма в октябре 2009 года - подвернула стопу (на настоящий момент 6 месяцев): открытое повреждение правого голеностопного сустава: закрытый перелом наружной лодыжки с вывихом стопы кнаружи, разрыв дельтовидной связки (рана по внутренней поверхности около 8 см). При поступлении произведено вправление вывиха, трансартикулярная фиксация голеностопного сустава спицами и ПХО раны. Заживление раны осложнилось краевым некрозом, рана зажила вторичным натяжением. Около недели назад открылся свищ с серозно-гнойным скудным отделяемым. В настоящее время имеется отек, движения в голеностопном суставе резко ограничены, стопа в нейтральное положение не выводиться (угол около 5 градусов подошвенного сгибания), ходит (около 1 месяца) с частичной опорой, полная нагрузка болезненна.
Разделилось мнение коллег по поводу дальнейшей тактики: 
1. Остеотомия н/лодыжки по месту перелома и остеосинтез
2. Артродез
3. Консервативное лечение с последующим артродезом (когда "совсем плохо будет")
Сама больная высоких требований не предъявляет, в принципе согласна на любое предложенное лечение, понимает, что как раньше уже не будет. 
Уважаемые коллеги, прошу высказаться на ваш взгляд с оптимальной тактикой в данном случае. Стоит ли еще "побороться за этот сустав"?
Спасибо!

----------- следущая часть -----------
Вложение не в текстовом формате было извлечено…
Имя     : отсутствует
Тип     : image/jpeg
Размер  : 28121 байтов
Описание: отсутствует
Url     : http://weborto.net:8080/pipermail/ortho/attachments/20100430/9041ca4b/attachment-0002.jpeg 
----------- следущая часть -----------
Вложение не в текстовом формате было извлечено…
Имя     : отсутствует
Тип     : image/jpeg
Размер  : 39097 байтов
Описание: отсутствует
Url     : http://weborto.net:8080/pipermail/ortho/attachments/20100430/9041ca4b/attachment-0003.jpeg 


Подробная информация о списке рассылки Ortho