[Ortho] перелом правой половины таза

Djoldas Kuldjanov orthoforum на weborto.net
Чт Май 6 16:39:23 YEKST 2010


При ведении осложненных больных для предотвращения конфликтной ситуации, мы не указываем, где и кем был оперирован пациент. Независимо от осложнений, необходимо принимать меры по дальнейшему исправлению ситуации, и лечить больного как собственного. Известно, что, кроме обиды коллег, такие PR заявления не приносят ничего хорошего, а провоцируют больного на более смелые меры против врача...

 
Во-первых у кого ошибок не бывает.., тем более, здесь очень скудная информация. Нет данных, как проводили послеоперацинный период, например, были случаи, когда довольно хорошо сопоставленный перелом из-за минимума фиксации смещался вторично. Также в осложнении немаловажную роль играет поведение больного, недисциплинированность которого потенциально увеличивает риск осложнений.  
 

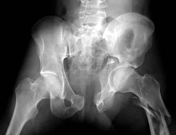
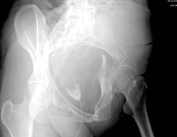
Все выступающие коллеги высказались насчет необходимости стандартных снимков по Judet, потому что для определения тактики лечения переломов вертлужной впадины 3Д снимки малоинформативны.


Летурнель разработал классификсацию на основании прямого, запирательного и подвздошного рентген снимков, котоые, кроме описания характера переломов, также подсказывают адекватный доступ для репозиции перелома.

 
Из того минимума, что представлено, мне кажется, мы имеем дело с двухколонным переломом вертлужной впадины. Обычно медиальный (центральный) "вывих" головки встречаются в сложных двухколонных переломах со смещением.

 
По-моему, надо готовить больного к будущей артропластике, но без опоры на задний столб невозможно удержать протез. Опорная конструкция (кольца и т.д.) должны иметь опору, и поэтому мы бы сделали реостеосинтез задним доступом. При надобности остеотомия и рутинная фиксация с межколонными винтами.
 

В дальнейшем, время покажет, когда приступить к артропластике....


Здесь несколько вариантов двухколонных свежих переломов, которые были оперированы из одного-заднего, а также из двух: переднего и заднего доступов.

<a href="pics/2k10/05/051"><img src="http://weborto.net/forum/pics/2k10/05/051?preview=1" alt=""></a> <a href="pics/2k10/05/052"><img src="http://weborto.net/forum/pics/2k10/05/052?preview=1" alt=""></a> <a href="pics/2k10/05/053"><img src="http://weborto.net/forum/pics/2k10/05/053?preview=1" alt=""></a> <a href="pics/2k10/05/054"><img src="http://weborto.net/forum/pics/2k10/05/054?preview=1" alt=""></a> <a href="pics/2k10/05/055"><img src="http://weborto.net/forum/pics/2k10/05/055?preview=1" alt=""></a> <a href="pics/2k10/05/056"><img src="http://weborto.net/forum/pics/2k10/05/056?preview=1" alt=""></a> <a href="pics/2k10/05/057"><img src="http://weborto.net/forum/pics/2k10/05/057?preview=1" alt=""></a> <a href="pics/2k10/05/058"><img src="http://weborto.net/forum/pics/2k10/05/058?preview=1" alt=""></a> <a href="pics/2k10/05/059"><img src="http://weborto.net/forum/pics/2k10/05/059?preview=1" alt=""></a> <a href="pics/2k10/05/0510"><img src="http://weborto.net/forum/pics/2k10/05/0510?preview=1" alt=""></a>
 

PS. при описании диагноза среди специалистов желательно описать перелом более корректным ортопедическим диагнозом, чем диагноз "перелом половины таза".

 
Djoldas Kuldjanov, M.D.
Department of Orthopedic Surgery
St. Louis University

Djoldas Kuldjanov



__________ Information from ESET Smart Security, version of virus signature database 5087 (20100505) __________

The message was checked by ESET Smart Security.

http://www.esetnod32.ru/.ml

----------- УМЕДХЭБС ЮБУФШ -----------
Вложение не в текстовом формате было извлечено&hellip;
Имя     : 1 Both column one incision.jpg
Тип     : image/jpeg
Размер  : 25084 байтов
Описание: отсутствует
Url     : http://weborto.net:8080/pipermail/ortho/attachments/20100506/5c268106/attachment-0010.jpg 
----------- УМЕДХЭБС ЮБУФШ -----------
Вложение не в текстовом формате было извлечено&hellip;
Имя     : 1 Bothcolumn.jpg
Тип     : image/jpeg
Размер  : 33886 байтов
Описание: отсутствует
Url     : http://weborto.net:8080/pipermail/ortho/attachments/20100506/5c268106/attachment-0011.jpg 
----------- УМЕДХЭБС ЮБУФШ -----------
Вложение не в текстовом формате было извлечено&hellip;
Имя     : 2 Both column one incision.jpg
Тип     : image/jpeg
Размер  : 24942 байтов
Описание: отсутствует
Url     : http://weborto.net:8080/pipermail/ortho/attachments/20100506/5c268106/attachment-0012.jpg 
----------- УМЕДХЭБС ЮБУФШ -----------
Вложение не в текстовом формате было извлечено&hellip;
Имя     : 2 Bothcolumn Judet 1.jpg
Тип     : image/jpeg
Размер  : 20868 байтов
Описание: отсутствует
Url     : http://weborto.net:8080/pipermail/ortho/attachments/20100506/5c268106/attachment-0013.jpg 
----------- УМЕДХЭБС ЮБУФШ -----------
Вложение не в текстовом формате было извлечено&hellip;
Имя     : 3 Both column one incision.jpg
Тип     : image/jpeg
Размер  : 34249 байтов
Описание: отсутствует
Url     : http://weborto.net:8080/pipermail/ortho/attachments/20100506/5c268106/attachment-0014.jpg 
----------- УМЕДХЭБС ЮБУФШ -----------
Вложение не в текстовом формате было извлечено&hellip;
Имя     : 3 Bothcolumn Judet 2.jpg
Тип     : image/jpeg
Размер  : 27444 байтов
Описание: отсутствует
Url     : http://weborto.net:8080/pipermail/ortho/attachments/20100506/5c268106/attachment-0015.jpg 
----------- УМЕДХЭБС ЮБУФШ -----------
Вложение не в текстовом формате было извлечено&hellip;
Имя     : 4 Both column one incision.jpg
Тип     : image/jpeg
Размер  : 31880 байтов
Описание: отсутствует
Url     : http://weborto.net:8080/pipermail/ortho/attachments/20100506/5c268106/attachment-0016.jpg 
----------- УМЕДХЭБС ЮБУФШ -----------
Вложение не в текстовом формате было извлечено&hellip;
Имя     : 4 Bothcolumn postop.jpg
Тип     : image/jpeg
Размер  : 22812 байтов
Описание: отсутствует
Url     : http://weborto.net:8080/pipermail/ortho/attachments/20100506/5c268106/attachment-0017.jpg 
----------- УМЕДХЭБС ЮБУФШ -----------
Вложение не в текстовом формате было извлечено&hellip;
Имя     : 5 Bothcolumn postop 2.jpg
Тип     : image/jpeg
Размер  : 30229 байтов
Описание: отсутствует
Url     : http://weborto.net:8080/pipermail/ortho/attachments/20100506/5c268106/attachment-0018.jpg 
----------- УМЕДХЭБС ЮБУФШ -----------
Вложение не в текстовом формате было извлечено&hellip;
Имя     : 6 Bothcolumn postop 3.jpg
Тип     : image/jpeg
Размер  : 27898 байтов
Описание: отсутствует
Url     : http://weborto.net:8080/pipermail/ortho/attachments/20100506/5c268106/attachment-0019.jpg 


Подробная информация о списке рассылки Ortho