[Ortho] Больной с дефектом дистальной части бедра

Глеб Коробушкин kgleb на mail.ru
Ср Май 26 16:03:24 YEKST 2010


Коллеги!
Прошу совета, какую тактику избрать при лечении.
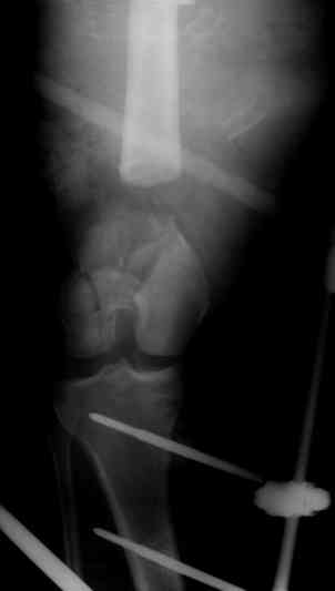
Больной 27 лет, мотоциклист. Поступил 23.04.10
ДЗ. О. перелом н.з левого бедра Gustillo 3b (c повредрение бедренной вены),
О.Правого бедра Gustillo 2, з. фрагментарный перелом левой голени.
При поступлении Hb 66 ISS 40, фиксация стержневыми аппратами, сосудистые хирурги выполнили шов вены. Выполена резекция бедренной кости 9 см
На 7 сутки Желудочно-кмшечное кроветечение из стрессовых язв, 12 сутки флотирующий тромтоз 14 см установлен кава-фильтр.
На 15 сутки ракрытие ран местными тканями. Раны заживаю первично. Воспаления на стержнях нет.

В настоящий момент планируем. Переход со стержневых аппаратов на стержни с антибактериальным покрытием на правом бедре и левой голени.
Левое бедро пранируем продолжить фиксировать в стержневом аппрате.

Вопрос: что делать с левым бедром? Учитывая внутрисутавной характер перелома, дефект бедра 9 см. 

----------------------------------------
Korobushkin Gleb
----------- УМЕДХЭБС ЮБУФШ -----------
Вложение не в текстовом формате было извлечено…
Имя     : ScreenShot262.jpg
Тип     : image/jpeg
Размер  : 4257 байтов
Описание: отсутствует
Url     : http://weborto.net:8080/pipermail/ortho/attachments/20100526/d1adb6e4/attachment-0004.jpg 
----------- УМЕДХЭБС ЮБУФШ -----------
Вложение не в текстовом формате было извлечено…
Имя     : ScreenShot263.jpg
Тип     : image/jpeg
Размер  : 5523 байтов
Описание: отсутствует
Url     : http://weborto.net:8080/pipermail/ortho/attachments/20100526/d1adb6e4/attachment-0005.jpg 
----------- УМЕДХЭБС ЮБУФШ -----------
Вложение не в текстовом формате было извлечено…
Имя     : ScreenShot264.jpg
Тип     : image/jpeg
Размер  : 3398 байтов
Описание: отсутствует
Url     : http://weborto.net:8080/pipermail/ortho/attachments/20100526/d1adb6e4/attachment-0006.jpg 
----------- УМЕДХЭБС ЮБУФШ -----------
Вложение не в текстовом формате было извлечено…
Имя     : ScreenShot265.jpg
Тип     : image/jpeg
Размер  : 3817 байтов
Описание: отсутствует
Url     : http://weborto.net:8080/pipermail/ortho/attachments/20100526/d1adb6e4/attachment-0007.jpg 


Подробная информация о списке рассылки Ortho