[Ortho] Fw: Больной с дефектом дистальной части бедра

Korobushkin G gleb на gelios.net
Чт Май 27 01:02:25 YEKST 2010


 Коллеги!
 Прошу совета, какую тактику избрать при лечении.
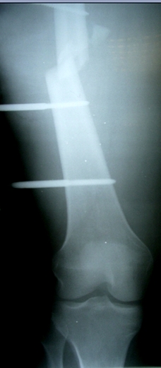
 Больной 27 лет, мотоциклист. Поступил 23.04.10
 ДЗ. О. перелом н.з левого бедра Gustillo 3b (c повредрение бедренной вены),
 О.Правого бедра Gustillo 2, з. фрагментарный перелом левой голени.
 При поступлении Hb 66 ISS 40, фиксация стержневыми аппратами, сосудистые 
хирурги выполнили шов вены. Выполена резекция бедренной кости 9 см
 На 7 сутки Желудочно-кмшечное кроветечение из стрессовых язв, 12 сутки 
флотирующий тромтоз 14 см установлен кава-фильтр.
 На 15 сутки ракрытие ран местными тканями. Раны заживаю первично. 
Воспаления на стержнях нет.
 В настоящий момент планируем. Переход со стержневых аппаратов на стержни с 
антибактериальным покрытием на правом бедре и левой голени.
 Левое бедро пранируем продолжить фиксировать в стержневом аппрате.

 Вопрос: что делать с левым бедром? Учитывая внутрисутавной характер 
перелома, дефект бедра 9 см.

 ----------------------------------------
 Korobushkin Gleb
----------- следущая часть -----------
Вложение не в текстовом формате было извлечено…
Имя     : ScreenShot265.jpg
Тип     : image/jpeg
Размер  : 3817 байтов
Описание: отсутствует
Url     : http://weborto.net:8080/pipermail/ortho/attachments/20100526/5b8e0f43/attachment-0004.jpg 
----------- следущая часть -----------
Вложение не в текстовом формате было извлечено…
Имя     : ScreenShot264.jpg
Тип     : image/jpeg
Размер  : 62355 байтов
Описание: отсутствует
Url     : http://weborto.net:8080/pipermail/ortho/attachments/20100526/5b8e0f43/attachment-0005.jpg 
----------- следущая часть -----------
Вложение не в текстовом формате было извлечено…
Имя     : ScreenShot263.jpg
Тип     : image/jpeg
Размер  : 78485 байтов
Описание: отсутствует
Url     : http://weborto.net:8080/pipermail/ortho/attachments/20100526/5b8e0f43/attachment-0006.jpg 
----------- следущая часть -----------
Вложение не в текстовом формате было извлечено…
Имя     : ScreenShot262.jpg
Тип     : image/jpeg
Размер  : 70072 байтов
Описание: отсутствует
Url     : http://weborto.net:8080/pipermail/ortho/attachments/20100526/5b8e0f43/attachment-0007.jpg 


Подробная информация о списке рассылки Ortho