[Ortho] Ошибка в установке вертлужного компонента

шухрат orthoforum на weborto.net
Пн Май 31 23:34:45 YEKST 2010


Уважаемый Станислав! 
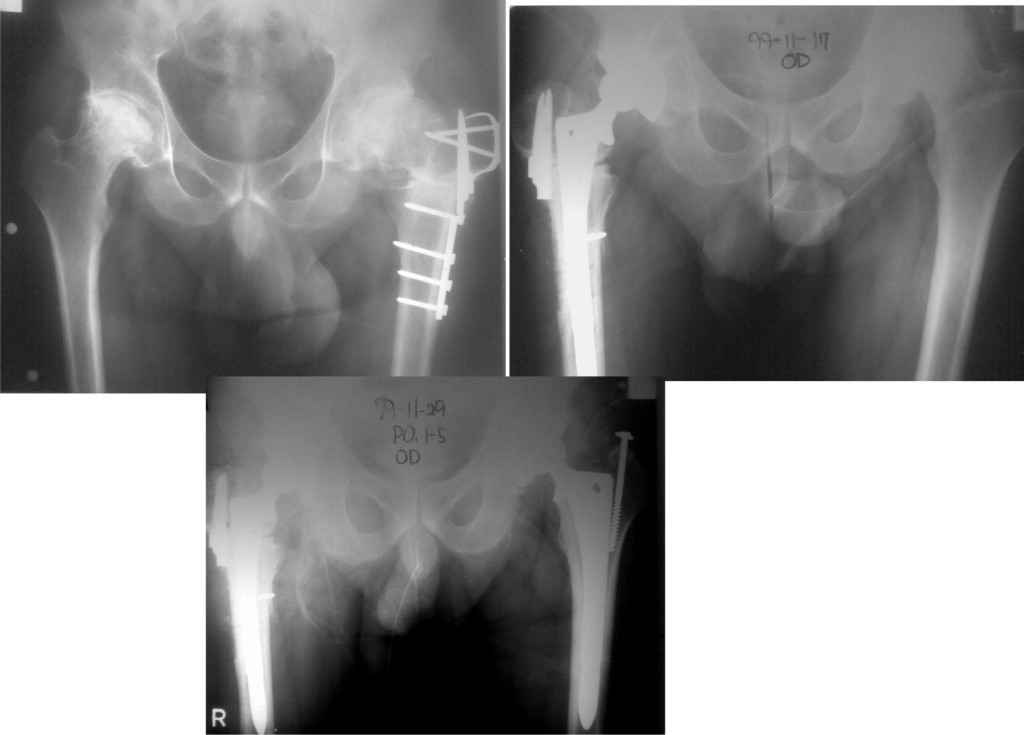
У меня опыт по эндопротезированию совсем не большой.Еще 5 лет тому назад у нас в городе не было протезирования. Во вложении снимки одного больного из нашего города. который оперировался в 1999 году в Южной Корее. разница по времени замены второго сустава 11 дней. Больной по настоящее время ходит без проблем, особых жалоб не предявляет, весит он 98 кг. Может быть есть смысл подождать, по наблюдать а оперировать никогда не поэдно.
Удачи Вам!
шухрат
----------- УМЕДХЭБС ЮБУФШ -----------
Вложение не в текстовом формате было извлечено…
Имя     : протез.jpg
Тип     : image/jpeg
Размер  : 21721 байтов
Описание: отсутствует
Url     : http://weborto.net:8080/pipermail/ortho/attachments/20100531/210874ad/attachment-0001.jpg 


Подробная информация о списке рассылки Ortho