[Ortho] Редко встречающаяся травма

Андрей Миронов orthoforum на weborto.net
Вт Ноя 2 01:26:21 YEKT 2010


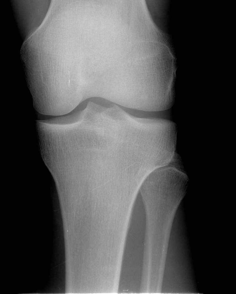
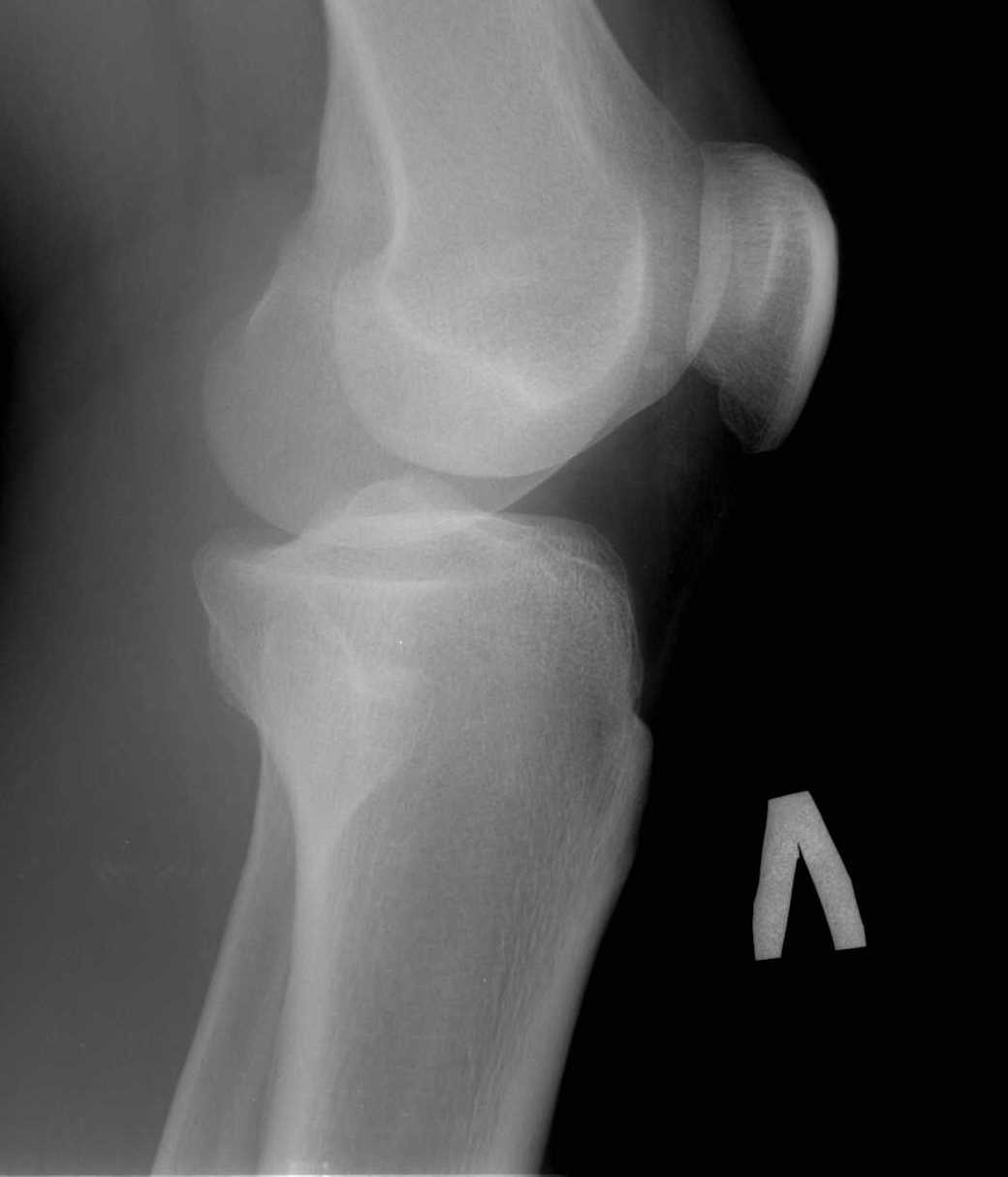
Добрый вечер уважаемые колеги. Проблема в следующем.Обратился пациент, возраст 26лет.
Травму левого коленного сустава отмечает около 2-х месяцев назад( при игре в футбол). За мед
помощью обратился не сразу, а как обратился, все консервативные мероприятия( мази, гели,
мумие, физиолечение) без эффекта. Сохраняются боли при нагрузке. Локально: отека
коленного сустава нет, выпота в суставе нет(и не было). Связочный аппарат коленного сустава
стабилен. Симптомы повреждения внутрисуставных структур отр(-). Пальпаторно умеренная
болезненность в проекции головки м/берцовой кости, а при сравнительном исследовании
определяется подвижность головки м/берцовой кости по отношению к тибии с больной
стороны.Ds: Застарелый разрыв проксимального межберцового синдесмоза левой
голени.Хотелось бы посоветоваться, кто сталкивался с такой проблемой как лучше помочь
больному.наш вариант лечения:открыто выделить место вырезки б/берцовой кости,установка
м/берцовой кости на место и фиксация берцовых костей винтом или болтом стяжкой ч/з область
шейки м/берцовой кости, дополнительно в ходе доступа выделить м/берцовый нерв для
спокойной работы в этой зоне. Жду ваших советов.С уважением Андрей


Андрей Миронов
----------- УМЕДХЭБС ЮБУФШ -----------
Вложение не в текстовом формате было извлечено…
Имя     : 111.jpg
Тип     : image/jpeg
Размер  : 27851 байтов
Описание: отсутствует
Url     : http://weborto.net:8080/pipermail/ortho/attachments/20101102/a8b8fbfd/attachment-0002.jpg 
----------- УМЕДХЭБС ЮБУФШ -----------
Вложение не в текстовом формате было извлечено…
Имя     : 222.jpg
Тип     : image/jpeg
Размер  : 32978 байтов
Описание: отсутствует
Url     : http://weborto.net:8080/pipermail/ortho/attachments/20101102/a8b8fbfd/attachment-0003.jpg 


Подробная информация о списке рассылки Ortho