[Ortho] перелом пяточной кости

Anton Vladzymyrskyy avv_mobile на mail.ru
Ср Ноя 3 13:12:05 YEKT 2010


Уважаемые коллеги!

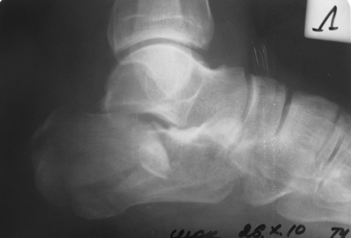
Мужчина, 47 лет. Диагноз: Кататравма (26.10.10г. падение с высоты 2го этажа). Открытый оскольчатый внутрисуставной перелом дистального метаэпифиза лучевой кости, перелом шиловидного отростка локтевой кости левого предплечья со смещением отломков, закрытый оскольчатый внутрисуставной перелом дистального метаэпифиза лучевой кости, перелом шиловидного отростка локтевой кости правого предплечья со смещением отломков. Закрытый оскольчатый внутрисуставной перелом левой пяточной кости, закрытый оскольчатый внутрисуставной перелом дистального метаэпифиза обеих костей правой голени со смещением отломков, закрытый компрессионно-оскольчатый перелом тела L2 позвонка с болевым вертеброгенным синдромом. Голень и предплечья синтезированы АВФ в ургентном порядке. В настоящее время состояние пациента стабильное, к оперативному лечению соматически готов.

Во время клинического разбора мнения разделились: 1) открытая репозиция, МОС пяточной пластиной 2) гипсовая иммобилизация 3) ЧКО аппаратом внешней фиксации как репозиционный и окончательный вариант остеосинтеза. 4) необходимость СКТ? 	

Коллеги, пожалуйста, интересует ваше мнение относительно тактики лечения,  необходимого перечня рентгенологического обследования оскольчатого внутрисуставного перелома пяточной кости и сроков выполнения предполагаемой операции. Просим высказаться относительно необходимости выполнения СКТ как важного этапа диагностики. 
Пациент будет повторно представлен на ближайшем клиническом разборе  (приветствуются примеры аналогичных клинических случаев, ссылки на современную литературу и диссертационные работы).

С уважением,
А.В.Владзимирский
ДНИИТО
----------- следущая часть -----------
Вложение не в текстовом формате было извлечено…
Имя     : отсутствует
Тип     : image/jpeg
Размер  : 47665 байтов
Описание: отсутствует
Url     : http://weborto.net:8080/pipermail/ortho/attachments/20101103/addb9310/attachment-0001.jpeg 
----------- следущая часть -----------
Вложение не в текстовом формате было извлечено…
Имя     : отсутствует
Тип     : application/octet-stream
Размер  : 216816 байтов
Описание: отсутствует
Url     : http://weborto.net:8080/pipermail/ortho/attachments/20101103/addb9310/attachment-0001.obj 


Подробная информация о списке рассылки Ortho